花潮论坛

搜索
热搜: 活动 交友 discuz

[时事新闻] 国家卫健委高级别专家组就新型冠状病毒感染的肺炎疫情答记者问

[复制链接]

该用户从未签到

1644

主题

23万

回帖

26万

积分

版主

Rank: 7Rank: 7Rank: 7Rank: 7Rank: 7Rank: 7Rank: 7

花潮美女鼠牛虎兔龙蛇马羊猴鸡狗猪多彩人生火热情怀优雅迷人缤纷心情蝴蝶情怀心曲飞扬星星情怀七彩绚丽相遇之美花好月圆心香一瓣飞龙在天王者至尊生财有道大将风范天籁妙音妙笔生花共看流星风雨同行我心永远幸福快乐前途似锦花潮版主

 楼主| 发表于 2020-4-28 10:32 | 显示全部楼层
杭州昨日气温逼近30°C!张文宏:领导要带头在通风环境而不是空调中开会

2020
04/27
11:33
钱江晚报

昨天白天,杭州最高气温达到29.2℃!不少爸妈疑问:天气慢慢热起来了,学校里能开空调吗?
4月26日,复旦大学附属华山医院感染科主任张文宏教授就“新冠遇上夏天”为主题与网友在线交流。
学校尽量不要开中央空调
领导要带头在通风环境开会
张文宏表示,学校尽量不要开中央空调,万一有个别感染病例在一个密闭的空间里就会造成较大风险。
张文宏建议各个学校尽量不要开中央空调,因为中央空调的一个特点就是密闭式,万一有个别的病人感染了,在一个密闭的空间里面就会对大家造成较大风险。
张文宏说,“当然我们也认为(学校空调)风险是极低的,但是今天我们在这里讨论的所有事情都是基于底线思维。九、十月份的时候,大家开窗通风在相对比较热的环境里面读书,我不知道这有什么不可以。今天学生的父母在他们小时候都是没有空调的,这么多年也都过来了。这不是忆苦思甜,但是在疫情前面,我认为健康是第一位的,安全是第一位的。”
张文宏表示,南亚、赤道附近国家的新冠病毒仍在传播,所以气温杀死不了新冠病毒。张文宏建议,尽量不要开空调,“领导同志要带头在通风的环境当中开会,而不是在空调的环境当中开会。”
学生返校第一件事是要洗手
没洗手前不要拿下口罩
张文宏表示,孩子们复学到学校后首先要做的是洗手,没有洗手的地方也可以用免洗洗手液。
张文宏建议,学生到了新的环境比如学校,第一个要做的动作就是洗手。如果没有洗手的地方或者洗手的人太多,也可以用免洗洗手液。
张文宏说,“我们要避免我们的手接触过公共场所的门把手、栏杆、电梯的按钮以后再来碰自己的嘴和鼻子,而且容易发生的错误是大家没洗手前就用自己的手把口罩给拿下来。所以这些动作你如果做到位了,我们感染新冠的风险是可以避免的。所以记住一点,上车以后我们的双手原则上不能碰自己的口罩和口鼻,下车以后第一时间洗手,洗好手以后再拿书包、口罩,那么这样做就是安全的。(学生如果)做到位,哪怕接触到过新冠病人,你也不会被感染。”
来源:南方都市报(nddaily)报道

该用户从未签到

1644

主题

23万

回帖

26万

积分

版主

Rank: 7Rank: 7Rank: 7Rank: 7Rank: 7Rank: 7Rank: 7

花潮美女鼠牛虎兔龙蛇马羊猴鸡狗猪多彩人生火热情怀优雅迷人缤纷心情蝴蝶情怀心曲飞扬星星情怀七彩绚丽相遇之美花好月圆心香一瓣飞龙在天王者至尊生财有道大将风范天籁妙音妙笔生花共看流星风雨同行我心永远幸福快乐前途似锦花潮版主

 楼主| 发表于 2020-4-28 11:16 | 显示全部楼层
武汉在院新冠肺炎患者清零,专家:清零不等于全部出院

2020
04/27
15:36
新京报


新京报快讯(记者 许雯)4月27日,国务院联防联控机制就依法防控境外疫情输入最新情况举行发布会。昨天武汉所有在院新冠肺炎患者清零,中国疾控中心流行病学首席专家吴尊友表示,清零和出院不能划等号。清零是医院内符合新冠肺炎诊断标准的病人已经没有了,不等于所有曾经患过新冠肺炎的病人全部出院。

吴尊友介绍,出院要符合几个标准:体温恢复正常3天、呼吸道症状消失、肺部没有炎症症状,两次核酸检测阴性。但有些病人之前有基础性疾病,或是新冠肺炎病人在治疗中出现并发症,所以现在还有些病人在医院治疗基础性疾病和并发症,要根据他们的治疗情况酌情考虑出院。

新京报记者 许雯

发布会要点

中疾控专家复盘疫情发现至今时间线,回应中国瞒报质疑

国家卫健委:全国现有本土病例降至100例以下

民航局:本周安排5架次临时航班 将接回900名中国公民

国家卫健委:防输入早期,部分潜在病例未被及时发现

该用户从未签到

1644

主题

23万

回帖

26万

积分

版主

Rank: 7Rank: 7Rank: 7Rank: 7Rank: 7Rank: 7Rank: 7

花潮美女鼠牛虎兔龙蛇马羊猴鸡狗猪多彩人生火热情怀优雅迷人缤纷心情蝴蝶情怀心曲飞扬星星情怀七彩绚丽相遇之美花好月圆心香一瓣飞龙在天王者至尊生财有道大将风范天籁妙音妙笔生花共看流星风雨同行我心永远幸福快乐前途似锦花潮版主

 楼主| 发表于 2020-4-30 17:55 | 显示全部楼层
31省区市新增4例均为境外输入 新增无症状感染者33例

2020
04/30
08:10
国家卫生健康委员会官方网站

国家卫健委:昨日新增确诊病例4例,均为境外输入病例;无新增死亡病例;新增无症状感染者33例。
4月29日0—24时,31个省(自治区、直辖市)和新疆生产建设兵团报告新增确诊病例4例,均为境外输入病例;无新增死亡病例;新增疑似病例3例,均为境外输入疑似病例(均在上海)。
当日新增治愈出院病例32例,解除医学观察的密切接触者708人,重症病例减少9例。
境外输入现有确诊病例525例(含重症病例13例),现有疑似病例7例。累计确诊病例1664例,累计治愈出院病例1139例,无死亡病例。
截至4月29日24时,据31个省(自治区、直辖市)和新疆生产建设兵团报告,现有确诊病例619例(其中重症病例41例),累计治愈出院病例77610例,累计死亡病例4633例,累计报告确诊病例82862例,现有疑似病例10例。累计追踪到密切接触者732369人,尚在医学观察的密切接触者8032人。
湖北无新增确诊病例,无新增治愈出院病例,无新增死亡病例,无现有确诊病例,无重症病例。累计治愈出院病例63616例(武汉46464例),累计死亡病例4512例(武汉3869例),累计确诊病例68128例(武汉50333例)。无新增疑似病例,无现有疑似病例。
31个省(自治区、直辖市)和新疆生产建设兵团报告新增无症状感染者33例,其中境外输入无症状感染者2例;当日无转为确诊病例;当日解除医学观察28例(境外输入6例);尚在医学观察无症状感染者998例(境外输入127例)。
累计收到港澳台地区通报确诊病例1511例。其中,香港特别行政区1037例(出院830例,死亡4例),澳门特别行政区45例(出院34例),台湾地区429例(出院311例,死亡6例)。

该用户从未签到

1644

主题

23万

回帖

26万

积分

版主

Rank: 7Rank: 7Rank: 7Rank: 7Rank: 7Rank: 7Rank: 7

花潮美女鼠牛虎兔龙蛇马羊猴鸡狗猪多彩人生火热情怀优雅迷人缤纷心情蝴蝶情怀心曲飞扬星星情怀七彩绚丽相遇之美花好月圆心香一瓣飞龙在天王者至尊生财有道大将风范天籁妙音妙笔生花共看流星风雨同行我心永远幸福快乐前途似锦花潮版主

 楼主| 发表于 2020-5-1 09:07 | 显示全部楼层
待出院新冠患者意外死亡后发现肺部仍残留病毒,或解复阳之谜

2020
04/29
20:10
澎湃新闻

鼻咽拭子阴性但肺组织仍然有病毒的可能性。此外,研究团队的研究为鼻咽拭子连续3次PCR阴性的肺部病毒残留患者提供了首个病理学证据。因此,研究团队强烈建议对可以出院的患者再进行支气管肺泡灌洗液中的SARS-CoV-2进行PCR核酸检测,并延长检疫时间。
迄今为止,数以万计的新冠患者已经临床治愈并出院,但有的治愈患者却再次出现SARS-CoV-2核酸检测阳性,这引起了对“复阳”问题的关注。
4月28日最新发表的对一名新冠死亡患者的病理学研究,为这一问题提供了一个难得的视角。一名连续3次新冠核酸检测阴性、符合出院标准的病人由于心脏病意外死亡。研究者对遗体进行病理学研究,通过对肺、肝、心脏、肠和皮肤的组织的切片检测,发现肺部仍然有新冠病毒。
该研究刊发在自然出版集团旗下、中科院主管的权威期刊《细胞研究》(Cell Research)上。作者单位包括中国人民解放军第三军医大学、南方医科大学大学等。通讯作者为中国科学院院士、陆军军医大学教授卞修武,中国人民解放军第三军医大学刘新东教授等人。研究者表示,随着出院病人越来越多,人们迫切需要了解SARS-CoV-2感染的发病机理。在这里,研究者对一名死于心血管意外的COVID-19病人进行了死后病理学研究。病理检查显示,SARS-CoV-2病毒残留在肺细胞中,并且肺部有由病毒引起的病理变化。这为研究SARS-CoV-2的发病机理提供了新的见解,并可能有助于改善病毒遏制和疾病管理的临床指南。研究对象是一名78岁女性病人。她由于跌伤在2020年1月27日入院,该患者报告1月25日接触过新冠患者。自1月29日起,患者出现肺炎症状。在2月2日,采集鼻咽拭子并经过PCR检测后,患者确诊SARS-CoV-2阳性,并开始接受治疗。

                               
登录/注册后可看大图
2月3日, 患者的CT胸部扫描显示了两个肺部都有多个斑片状阴影,表明她存在肺部感染。从2月8日至10日,医院对鼻咽拭子样本进行的三个连续PCR检测,皆显示SARS-CoV-2阴性。从2月11日至13日,患者的病情得到明显改善,CT检查显示肺部炎症吸收。

                               
登录/注册后可看大图
根据标准,患者可以准备出院了。然而, 2月14日,该患者突然因心脏骤停而死亡。

该用户从未签到

1644

主题

23万

回帖

26万

积分

版主

Rank: 7Rank: 7Rank: 7Rank: 7Rank: 7Rank: 7Rank: 7

花潮美女鼠牛虎兔龙蛇马羊猴鸡狗猪多彩人生火热情怀优雅迷人缤纷心情蝴蝶情怀心曲飞扬星星情怀七彩绚丽相遇之美花好月圆心香一瓣飞龙在天王者至尊生财有道大将风范天籁妙音妙笔生花共看流星风雨同行我心永远幸福快乐前途似锦花潮版主

 楼主| 发表于 2020-5-1 09:07 | 显示全部楼层
驻在平安夜前夕 发表于 2020-5-1 09:07
待出院新冠患者意外死亡后发现肺部仍残留病毒,或解复阳之谜

2020

尽管患者的鼻咽拭子显示SARS-CoV-2病毒核酸阴性,研究者还是试图确定:患者体内是否还有SARS-CoV-2病毒残留?研究者对患者的肺、肝、心脏、肠和皮肤的组织切片进行了数字PCR检测,出乎意料的是,仅在肺部而不是其他组织中发现了SARS-CoV-2病毒核酸阳性。

                               
登录/注册后可看大图
研究者用电子显微镜的进一步观察也显示:在有纤毛的细支气管上皮细胞和具有层状体特征的II型肺泡上皮细胞(type II AE)中均存在清晰的冠状病毒颗粒。病毒颗粒的直径为70–100 nm。如下图所示:

                               
登录/注册后可看大图
此外,研究者使用抗SARS-CoV-2核衣壳的单克隆抗体进行了免疫组织化学(IHC)染色,也确认肺组织中存在SARS-CoV-2病毒。如下图所示:

                               
登录/注册后可看大图
而在患者的肝,心脏,肠,皮肤和骨髓中均未检测到冠状病毒颗粒和SARS-CoV-2核衣壳。这些结果充分说明:这名可以出院的COVID-19患者肺中存在SARS-CoV-2病毒残留。

该用户从未签到

1644

主题

23万

回帖

26万

积分

版主

Rank: 7Rank: 7Rank: 7Rank: 7Rank: 7Rank: 7Rank: 7

花潮美女鼠牛虎兔龙蛇马羊猴鸡狗猪多彩人生火热情怀优雅迷人缤纷心情蝴蝶情怀心曲飞扬星星情怀七彩绚丽相遇之美花好月圆心香一瓣飞龙在天王者至尊生财有道大将风范天籁妙音妙笔生花共看流星风雨同行我心永远幸福快乐前途似锦花潮版主

 楼主| 发表于 2020-5-1 09:08 | 显示全部楼层
驻在平安夜前夕 发表于 2020-5-1 09:07
尽管患者的鼻咽拭子显示SARS-CoV-2病毒核酸阴性,研究者还是试图确定:患者体内是否还有SARS-CoV-2病毒残 ...

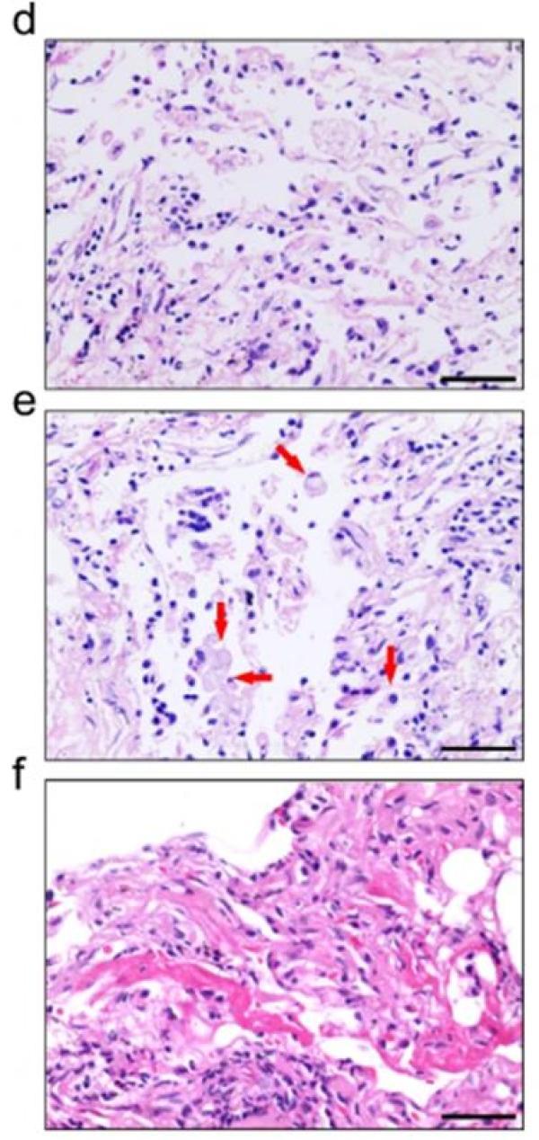
肺活检标本的组织病理学检查显示:患者主要为弥漫性肺泡损害,例如增殖性II型AE、渗出性单核细胞和巨噬细胞的广泛脱落。 一些肺泡壁被低柱状II型肺泡上皮细胞局部衬里,并在肺泡间隙中形成透明膜。 肺泡间隔增厚,微血管内有散在的间质性炎症浸润和透明血栓,但未发现肺水肿。如下图所示:

                               
登录/注册后可看大图

该用户从未签到

1644

主题

23万

回帖

26万

积分

版主

Rank: 7Rank: 7Rank: 7Rank: 7Rank: 7Rank: 7Rank: 7

花潮美女鼠牛虎兔龙蛇马羊猴鸡狗猪多彩人生火热情怀优雅迷人缤纷心情蝴蝶情怀心曲飞扬星星情怀七彩绚丽相遇之美花好月圆心香一瓣飞龙在天王者至尊生财有道大将风范天籁妙音妙笔生花共看流星风雨同行我心永远幸福快乐前途似锦花潮版主

 楼主| 发表于 2020-5-1 09:08 | 显示全部楼层
驻在平安夜前夕 发表于 2020-5-1 09:08
肺活检标本的组织病理学检查显示:患者主要为弥漫性肺泡损害,例如增殖性II型AE、渗出性单核细胞和巨噬细 ...

肺组织中也存在与慢性呼吸系统疾病相关的变化。 为了进一步描述肺泡间隙和隔中浸润免疫细胞的细胞类型,研究者进行了IHC染色,发现它们主要浸润CD68 +巨噬细胞,CD20 + B细胞和CD8 + T细胞。 CD4 + T和CD38 +浆细胞几乎检测不到(数据未显示)。如下图所示:

                               
登录/注册后可看大图
截至目前,COVID-19的病理特征,尤其是在轻度和康复患者的肺组织中,仍是未知之数。在这项研究中,研究团队对一名患有轻度COVID-19肺炎的老年患者进行了死后病理学研究,并发现了由SARS-CoV-2感染引起的肺部病理变化。从组织学上,研究者观察到患者的肺主要是弥漫性肺泡损害,包括肺泡间隔破裂、II型A E的增殖和脱落、纤维蛋白、单核细胞和巨噬细胞的渗出以及透明膜的形成。
这些肺部病理特征与SARS和中东呼吸综合征(MERS)中观察到的特征一致,研究团队认为,这说明治疗SARS和MERS的成功方法可以供COVID-2019治疗借鉴。
通过使用包括电子显微镜和IHC染色在内的综合手段,研究者发现该患者的肺中残留有SARS-CoV-2,这证明了:鼻咽拭子阴性但肺组织仍然有病毒的可能性。此外,研究团队的研究为鼻咽拭子连续3次PCR阴性的肺部病毒残留患者提供了首个病理学证据。因此,研究团队强烈建议对可以出院的患者再进行支气管肺泡灌洗液中的SARS-CoV-2进行PCR核酸检测,并延长检疫时间。
研究团队特别建议:及时对出院患者,尤其是患有基础疾病的老年患者进行后续医学检查。

该用户从未签到

1644

主题

23万

回帖

26万

积分

版主

Rank: 7Rank: 7Rank: 7Rank: 7Rank: 7Rank: 7Rank: 7

花潮美女鼠牛虎兔龙蛇马羊猴鸡狗猪多彩人生火热情怀优雅迷人缤纷心情蝴蝶情怀心曲飞扬星星情怀七彩绚丽相遇之美花好月圆心香一瓣飞龙在天王者至尊生财有道大将风范天籁妙音妙笔生花共看流星风雨同行我心永远幸福快乐前途似锦花潮版主

 楼主| 发表于 2020-5-5 16:57 | 显示全部楼层
钟南山:我有底气、有证据说,这种药真的有效

2020-05-05 08:02 长安街知事

北京时间5月4日20时,外交部和国家卫健委联合邀请中国工程院院士钟南山为留学生答疑解惑。

钟南山表示,有充足证据证明连花清瘟对治疗新冠肺炎有效。他提醒国外留学生,假如说有点发烧,就是多多喝水,吃点带过去的药物,比如日夜百服灵、布洛芬这一类药物,这些都是有效的,或者用连花清瘟。

“刚刚做完一个实验(结果)很快就要发表了,第一次在世界上有非常充足的证据证实它(连花清瘟)有效,能帮助病人的恢复。”钟南山说。

钟南山还寄语留学生们:“我们经历点挫折、磨练有好处。我从大学毕业快60年了,实际上得到最大的还是从挫折里得到的,而不是从成功中得到的。”


                               
登录/注册后可看大图


该用户从未签到

1644

主题

23万

回帖

26万

积分

版主

Rank: 7Rank: 7Rank: 7Rank: 7Rank: 7Rank: 7Rank: 7

花潮美女鼠牛虎兔龙蛇马羊猴鸡狗猪多彩人生火热情怀优雅迷人缤纷心情蝴蝶情怀心曲飞扬星星情怀七彩绚丽相遇之美花好月圆心香一瓣飞龙在天王者至尊生财有道大将风范天籁妙音妙笔生花共看流星风雨同行我心永远幸福快乐前途似锦花潮版主

 楼主| 发表于 2020-5-5 16:57 | 显示全部楼层
驻在平安夜前夕 发表于 2020-5-5 16:57
钟南山:我有底气、有证据说,这种药真的有效

2020-05-05 08:02 长安街知事

连花清瘟有很好的修复作用

钟南山介绍,连花清瘟胶囊的成分包括麻杏石甘汤,再加上红花。这次实验做得比较认真。离体实验发现,连花清瘟胶囊对病毒抑制作用有一些,但是很弱。但是它的好处是,连花清瘟对病毒引起的细胞损伤、炎症有很好的修复作用。

连花清瘟胶囊有以下作用:第一,服用后患者症状改善得比较快,比对照组早两天。第二,患者CT片子的恢复得比对照组快。第三,患者体温下降有显著性差异,发热有时间缩短。



                               
登录/注册后可看大图


中国驻日本大使馆为留学生发放有连花清瘟胶囊的健康包

但是,服用后能否使病毒转阴,与对照有缩短,但是没有显著性差异。80%以上患者都属于普通型新冠患者,连花清瘟胶囊比较适合普通型的新冠肺炎患者。

他说:“进行实验后,我有底气、有证据来说,连花清瘟真的有效。”


该用户从未签到

1644

主题

23万

回帖

26万

积分

版主

Rank: 7Rank: 7Rank: 7Rank: 7Rank: 7Rank: 7Rank: 7

花潮美女鼠牛虎兔龙蛇马羊猴鸡狗猪多彩人生火热情怀优雅迷人缤纷心情蝴蝶情怀心曲飞扬星星情怀七彩绚丽相遇之美花好月圆心香一瓣飞龙在天王者至尊生财有道大将风范天籁妙音妙笔生花共看流星风雨同行我心永远幸福快乐前途似锦花潮版主

 楼主| 发表于 2020-5-5 16:58 | 显示全部楼层
驻在平安夜前夕 发表于 2020-5-5 16:57
连花清瘟有很好的修复作用钟南山介绍,连花清瘟胶囊的成分包括麻杏石甘汤,再加上红花。这次实验做得比较 ...

不赞成群体免疫,这要牺牲很多人

钟南山表示不赞成“群体免疫”,称这样要牺牲很多人才可能做到。

他说,在欧洲有报道20%的人有抗体了,最高报道的是25%,这个数字是离所谓的群体免疫差的很远。这个病(新冠肺炎)群体免疫,一般要百分之六、七十的人感染以后才有这个可能,现在百分之二十几,远远没达到。我并不太赞成这个做法,要牺牲很多人,就算1%,比流感也是高了十几二十倍,甚至一百倍。你要是2%、3%,那更不得了,那得牺牲很多人才能得到群体免疫。我不认为这个办法(可行),我们有很多办法,我们能预防、我们能防护、我们会争取时间、争取制成疫苗。

新冠肺炎的后遗症并不大

钟南山介绍,在国外,自我防护极为重要。国外面临更重的经济压力,中国人家里都存点钱,国外不开工,甚至不能生存。因此,国外开工的愿望非常强。英国首相约翰逊亲历疾病,英国的高峰好像过去了,还要慎重点。

新冠肺炎是否有后遗症?钟南山回应,我看到病人康复出院后恢复得不错,只要没有基础性疾病,恢复得很快。就算有些基础疾病,我看到比SARS那时要好一些。我所看到的病人总的来说恢复得都不错,包括肺。

17年前的非典,有些病人半年到一年后还有肺部纤维化,新冠患者纤维化不是太重了,看起来是可逆的。我们对100多个病人做了肺功能检查,还没有恢复到正常水平,但是看起来不会损害太大,慢慢都会恢复,所以后遗症并不大。

新冠病毒传染性这么强,让人始料未及

钟南山介绍,对新冠病毒,一开始完全不知道,特别是它有很高的传染性,是始料未及的。对待传染病的观点和做法,中西方不一样,但是在这一条是一致,大家都认识到(新冠病毒)传染性非常强。

从传染性的指数来讲,一般流感是1,SARS是接近2,中东呼吸综合征(MERS)是1.5,新冠病毒是3。



                               
登录/注册后可看大图


对于新冠肺炎的治疗,目前没有很大的突破,但已经发展了多的辅助治疗方法,这段的时间有重大药物发现,是不太容易的。最好的防治办法,是保持距离、戴口罩。

他提到,这个世纪已经有三次冠状病毒暴发,2003年(SARS)、2015年(MERS),还有2019年的新冠病毒。对冠状病毒,要非常重视这类疾病。


该用户从未签到

1644

主题

23万

回帖

26万

积分

版主

Rank: 7Rank: 7Rank: 7Rank: 7Rank: 7Rank: 7Rank: 7

花潮美女鼠牛虎兔龙蛇马羊猴鸡狗猪多彩人生火热情怀优雅迷人缤纷心情蝴蝶情怀心曲飞扬星星情怀七彩绚丽相遇之美花好月圆心香一瓣飞龙在天王者至尊生财有道大将风范天籁妙音妙笔生花共看流星风雨同行我心永远幸福快乐前途似锦花潮版主

 楼主| 发表于 2020-5-5 16:58 | 显示全部楼层
驻在平安夜前夕 发表于 2020-5-5 16:58
不赞成群体免疫,这要牺牲很多人钟南山表示不赞成“群体免疫”,称这样要牺牲很多人才可能做到。他说,在 ...

新冠病毒不会通过蚊虫传播

钟南山介绍,病毒在高温环境下存活率、活动率是比较差,夏季到来,病毒活动会下降,温度高对病毒活动不利。

蚊子叮咬可以传播很多疾病,一个是疟疾,一个是登革热,这在非洲比较多见。现在为止,没有任何证据证明,新冠病毒能够通过蚊虫传播。

美国的病死率非常高

钟南山介绍,美国每天增加2万多确诊病例,但是有一个问题,美国的病死率非常高,达到6%。当时武汉市在早期达到6%、7%,但是全国不到1%。

美国现在死亡病例有4万多,快5万人,病死率接近6%。说明感染相当普遍,可能包括在纽约医疗资源有点跟不上,医务人员受感染,病床不够。我们都很理解,也非常同情,广大医务人员很累。



                               
登录/注册后可看大图


钟南山提醒留学生,“真的有发烧咳嗽的话,持续不退烧的话,恐怕要去看一下。新冠肺炎是80%多以上的患者都会自己好,关键是不要让它加重,也不需要很刻意地治疗。”

中国抗疫最大的特点是“四早”措施到社区、个人

钟南山介绍,在特殊的抗疫时期,中国大陆的疫情已经稳定了一个多月。海外大多数国家处在第一个阶段,甚至有少数国家还一直在上升阶段。

作为中国,最大的特点是,“四早”措施到社区,到每一个人。早发现,早诊断,早隔离,早治疗,最关键的是自我防护。东亚包括韩国、日本、新加坡,都是“四早”措施做得好。

留学生不要人云亦云,也不需要入乡随俗

钟南山介绍,狂风天气不会增加病毒传播,病毒在空气中,达不到一定浓度,不会传播。但是由于降雪和狂风,大家都待在屋里头,有可能增加病毒传播。



                               
登录/注册后可看大图


留学生在海外如何做好防护?钟南山介绍,个人看法,不要人云亦云,也不需要入乡随俗。留学生要知道自己怎么防护,我们有中国的做法,不要不好意思,到超市等公共场所必须戴口罩。防护是最重要的,不要看人家的不同看法。实际上,中国有些正确做法,带动了其他国家。

“你们的快乐、艰辛、成就,我都能体会”

钟南山介绍,今天是五四青年节,对在海外学习的同学们问好、致敬。我是改革开放第一批留学生,41年前我是中国派出的留学生,当时也算是青年。所以我对你们非常亲切,在海外学习的快乐、艰辛、成就,我能够体会。



                               
登录/注册后可看大图


年轻时的钟南山

钟南山回忆,1979年,(我)没有那么多钱,从北京坐火车到伦敦,中间路过莫斯科,条件很艰苦。留学时,医学老师讲课语速非常快,用了1年多的时间才能熟练交流。当年能打一个电话,就好得不得了,因为当时非常贵。如果写信,来回要一个月。现在的通讯非常方便。

钟南山表示,在国外很重要是心理。疫情不来,很多同学也有心理压力,特别需要留学生互相鼓励、支持。希望同学们把疫情当作对自己的考验,特别是心理考验。这次新冠疫情是人生考验,不完全是身体,更重要的心理考验。


该用户从未签到

1644

主题

23万

回帖

26万

积分

版主

Rank: 7Rank: 7Rank: 7Rank: 7Rank: 7Rank: 7Rank: 7

花潮美女鼠牛虎兔龙蛇马羊猴鸡狗猪多彩人生火热情怀优雅迷人缤纷心情蝴蝶情怀心曲飞扬星星情怀七彩绚丽相遇之美花好月圆心香一瓣飞龙在天王者至尊生财有道大将风范天籁妙音妙笔生花共看流星风雨同行我心永远幸福快乐前途似锦花潮版主

 楼主| 发表于 2020-5-6 19:12 | 显示全部楼层
105天125场,超级新闻发布会中的新冠疫情联防联控

2020
05/06
01:16
新京报

1月27日,国家卫健委疾控局一级巡视员贺青华、中国疾控中心传染病防控处研究员冯录召,走上国务院联防联控机制新闻发布台,开启了首场司局级发布会。随后,这一新闻发布平台每天一次,从大年初三一直开到了5月5日的立夏节气,恰好100期。
“从正月初三到今天立夏,这一路始终有你们的相伴,我们共同见证了从形势严峻的寒冬,到疫区花开的春天。”
5月5日下午,十余年来最长“五一”假期的最后一天,国务院应对新型冠状病毒感染的肺炎疫情联防联控机制(以下简称国务院联防联控机制)举办第100场新闻发布会(司局级),国家卫生健康委新闻发言人、宣传司副司长米锋的讲话令人动容。

                               
登录/注册后可看大图
5月5日,国务院联防联控机制第100场新闻发布会(司局级)后,记者与嘉宾、工作人员合影。摄影/新京报记者 吴宁
就在节前,中共中央政治局常务委员会4月29日召开会议指出,湖北保卫战、武汉保卫战取得决定性成果,全国疫情防控阻击战取得重大战略成果。次日,中央应对新冠肺炎疫情工作领导小组召开会议,部署突出重点落实常态化防控措施。那几天,全国“两会”召开时间确定了,全国最后4个维持公共卫生事件一级应急响应的地区——京津冀和湖北也陆续降低了响应级别。
新京报记者统计,从1月22日起到5月5日的105天里,国务院联防联控机制共召开125场新闻发布会。具体工作由国务院新闻办、国务院办公厅公开办、国家卫生健康委新闻司等单位负责。其中,25场的嘉宾是省部级,不定期召开;100场的发布嘉宾是司局级,自1月27日以来每天召开。
在这从严寒到花开的105天里,来自国务院近50个部委办局及研究机构、医院、社区等单位的462人次,分成125批走上发布台,围绕疫情防控、复工复产复学、民生兜底保障等诸多领域,回答了1400多个问题,可谓是“超级新闻发布会”。
整个疫情防控期间,不但中国10多亿人观看、关注国务院联防联控机制新闻发布会,全球还有2000多家媒体平台采用了联防联控机制新闻发布会上的信息。

该用户从未签到

1644

主题

23万

回帖

26万

积分

版主

Rank: 7Rank: 7Rank: 7Rank: 7Rank: 7Rank: 7Rank: 7

花潮美女鼠牛虎兔龙蛇马羊猴鸡狗猪多彩人生火热情怀优雅迷人缤纷心情蝴蝶情怀心曲飞扬星星情怀七彩绚丽相遇之美花好月圆心香一瓣飞龙在天王者至尊生财有道大将风范天籁妙音妙笔生花共看流星风雨同行我心永远幸福快乐前途似锦花潮版主

 楼主| 发表于 2020-5-6 19:12 | 显示全部楼层
驻在平安夜前夕 发表于 2020-5-6 19:12
105天125场,超级新闻发布会中的新冠疫情联防联控

2020

超级发布会:
从严冬到立夏,105天解答1400多个问题
新冠病毒和SARS有什么区别?中国政府采取了哪些措施防止扩散?……今年1月22日,在中央面向全国吹响疫情防控集结号两天后,国务院应对新冠肺炎疫情联防联控机制举行第一场新闻发布会,国家卫健委副主任李斌等就新冠疫情的核心问题,解答中外媒体疑问。
这些权威解答迅速通过电视或网络直播、新闻网站和客户端、报纸广播等各类媒体,传达到全国公众乃至全世界人们的眼前。
1月27日,国家卫健委疾控局一级巡视员贺青华、中国疾控中心传染病防控处研究员冯录召,走上国务院联防联控机制新闻发布台,开启了首场司局级发布会。随后,这一新闻发布平台每天一次,从大年初三一直开到了5月5日的立夏节气,恰好100期。

                               
登录/注册后可看大图
1月27日,国家卫健委就《关于加强新型冠状病毒感染的肺炎疫情社区防控工作的通知》有关情况举行发布会。摄影/新京报记者 吴宁
据了解,国务院联防联控机制新闻发布会由国务院办公厅政府信息和政务公开办会同国务院新闻办对外新闻局和国家卫生健康委新闻宣传司统筹、组织。
新京报记者统计,从1月22日以来,国务院联防联控机制共举行25场省部级新闻发布会,来自科技部、国家发展改革委、工业和信息化部、财政部、国家卫生健康委、交通运输部等30多个部门的92人次出席,其中省部级官员40多人次。
从1月22日以来的105天,国务院联防联控机制累计召开125场新闻发布会,462人次走上发布台,围绕疫情防控、复工复产复学、民生兜底保障等诸多领域,一共回答了1400多个问题。国家卫生健康委、国家发展改革委、交通运输部、农业农村部、工业和信息化部、中国民用航空局、商务部、财政部、海关总署、国家市场监管总局等部委发布次数均已超过两位数。
观察这125场新闻发布会,内容的阶段性特征明显:一二月侧重疫情防控、医疗救治、医疗和生活物资保障等方面,三四月以来,复工复产复市复学、防境外输入、防本土反弹则成为主流,疫苗科研攻关主题则伴随始终。

该用户从未签到

1644

主题

23万

回帖

26万

积分

版主

Rank: 7Rank: 7Rank: 7Rank: 7Rank: 7Rank: 7Rank: 7

花潮美女鼠牛虎兔龙蛇马羊猴鸡狗猪多彩人生火热情怀优雅迷人缤纷心情蝴蝶情怀心曲飞扬星星情怀七彩绚丽相遇之美花好月圆心香一瓣飞龙在天王者至尊生财有道大将风范天籁妙音妙笔生花共看流星风雨同行我心永远幸福快乐前途似锦花潮版主

 楼主| 发表于 2020-5-6 19:13 | 显示全部楼层
驻在平安夜前夕 发表于 2020-5-6 19:12
超级发布会:从严冬到立夏,105天解答1400多个问题新冠病毒和SARS有什么区别?中国政府采取了哪些措施防 ...

普及防控知识,细说“疫苗”“无症状感染”
当前,全国现有确诊病例已连续十余天下降,但每天新增报告的无症状感染者仍在两位数,现有900多名无症状感染者处在医学观察中。
在5月3日下午的国务院联防联控机制新闻发布会上,国家卫生健康委提醒,近14天有10个省份报告了新增本土确诊病例或无症状感染者,提示疫情反弹甚至扩散的风险依然存在,要始终保持高度警惕,在恢复生产生活秩序的同时,毫不放松抓好常态化防控工作。
早在2月5日的国务院联防联控机制新闻发布会上,国家医疗专家组成员、北京地坛医院感染性疾病诊疗与研究中心首席专家李兴旺曾介绍,没有肺炎表现的无症状感染者仍然具有传染性,在传播能力上会比重病人的弱一些。在诊断分型中加入这一类型,是为了更好地控制传染源。

                               
登录/注册后可看大图
2月5日,国家医疗专家组成员、北京地坛医院感染性疾病诊疗与研究中心首席专家李兴旺在新闻发布会上回答记者提问。摄影/新京报记者 吴宁

该用户从未签到

1644

主题

23万

回帖

26万

积分

版主

Rank: 7Rank: 7Rank: 7Rank: 7Rank: 7Rank: 7Rank: 7

花潮美女鼠牛虎兔龙蛇马羊猴鸡狗猪多彩人生火热情怀优雅迷人缤纷心情蝴蝶情怀心曲飞扬星星情怀七彩绚丽相遇之美花好月圆心香一瓣飞龙在天王者至尊生财有道大将风范天籁妙音妙笔生花共看流星风雨同行我心永远幸福快乐前途似锦花潮版主

 楼主| 发表于 2020-5-6 19:14 | 显示全部楼层
驻在平安夜前夕 发表于 2020-5-6 19:13
普及防控知识,细说“疫苗”“无症状感染”当前,全国现有确诊病例已连续十余天下降,但每天新增报告的无 ...

在4月15日的国务院联防联控机制新闻发布会上,针对新近印发的《新冠病毒无症状感染者管理规范》,国家卫健委疾控局一级巡视员贺青华介绍,规范要求各地对无症状感染者采取严格的医学管控措施。无症状感染者应当集中医学观察14天,在14天隔离期满后,经过2次核酸检测都为阴性才能解除集中医学观察。对解除集中医学观察的无症状感染者应当继续进行14天的医学观察、随访。
要彻底战胜新冠病毒,仅仅靠防控是不够的,还需要依靠“终极武器”——疫苗。
新京报记者发现,在国务院联防联控机制100场司局级新闻发布会中,有8场发布会聚焦科研攻关,平均每月两次,发布会由科技部领衔,其间60余位次专家科普回答了百余个公众关注的问题,减少了社会的恐慌情绪。
在4月14日的国务院联防联控机制新闻发布会上,科技部社会发展科技司司长吴远彬说,为更大限度提升疫苗研发的成功率,我国布局了五条技术路线,目前已有3个疫苗获批进入临床试验。

                               
登录/注册后可看大图
4月14日,国务院联防联控机制召开新闻发布会,介绍新冠肺炎药物研发、疫苗研制等科研攻关进展情况。科技部社会发展科技司司长吴远彬介绍,目前已经有3个疫苗获批进入临床试验。摄影/新京报记者 吴宁
不过,中国科学院微生物研究所研究员施一在4月23日的发布会上还是提醒公众,在疫苗没有研发成功和上市之前,针对新冠病毒疫情,目前仍旧以公共卫生防控措施为主,主要是控制传染源、切断传播途径、保护易感人群。公众应该戴好口罩、勤洗手。

该用户从未签到

1644

主题

23万

回帖

26万

积分

版主

Rank: 7Rank: 7Rank: 7Rank: 7Rank: 7Rank: 7Rank: 7

花潮美女鼠牛虎兔龙蛇马羊猴鸡狗猪多彩人生火热情怀优雅迷人缤纷心情蝴蝶情怀心曲飞扬星星情怀七彩绚丽相遇之美花好月圆心香一瓣飞龙在天王者至尊生财有道大将风范天籁妙音妙笔生花共看流星风雨同行我心永远幸福快乐前途似锦花潮版主

 楼主| 发表于 2020-5-6 19:14 | 显示全部楼层
驻在平安夜前夕 发表于 2020-5-6 19:14
在4月15日的国务院联防联控机制新闻发布会上,针对新近印发的《新冠病毒无症状感染者管理规范》,国家卫 ...

直面民生热点,回应高考延期、粮食抢购
此次疫情期间,几次针对热点问题的新闻发布令人印象深刻。
“多年粮食丰收、库存较为充裕,今年夏粮丰收有望、春播进展顺利,口粮完全自给、国际影响有限,米面随买随有不必囤积抢购。 ”在4月4日的发布会上,针对记者提出的粮食抢购问题,农业农村部种植业管理司司长潘文博用四句话回应;国家粮食和物资储备局粮食储备司司长秦玉云介绍,疫情发生以来,我国没有动用过中央储备粮;农业农村部发展规划司司长魏百刚介绍,国际粮食价格确实有所上涨,当前从全球供应总量来看不存在短缺问题,目前更多是疫情造成的恐慌性消费,国际对国内粮食市场影响有限。一系列回应,给担心粮食短缺的人们服下了“定心丸”。

                               
登录/注册后可看大图
4月4日,国务院联防联控机制召开新闻发布会,介绍做好疫情期间粮食供给和保障工作情况。摄影/新京报记者 吴宁

该用户从未签到

1644

主题

23万

回帖

26万

积分

版主

Rank: 7Rank: 7Rank: 7Rank: 7Rank: 7Rank: 7Rank: 7

花潮美女鼠牛虎兔龙蛇马羊猴鸡狗猪多彩人生火热情怀优雅迷人缤纷心情蝴蝶情怀心曲飞扬星星情怀七彩绚丽相遇之美花好月圆心香一瓣飞龙在天王者至尊生财有道大将风范天籁妙音妙笔生花共看流星风雨同行我心永远幸福快乐前途似锦花潮版主

 楼主| 发表于 2020-5-6 19:14 | 显示全部楼层
驻在平安夜前夕 发表于 2020-5-6 19:14
直面民生热点,回应高考延期、粮食抢购此次疫情期间,几次针对热点问题的新闻发布令人印象深刻。“多年粮 ...

在100次发布会中,农业农村部参加了13次,是曝光率仅次于国家卫生健康委的部门。针对猪肉价格问题,4月28日下午,农业农村部发展规划司司长魏百刚介绍,目前“菜篮子”产品价格持续回落,猪肉批发价格已连续10周下降,每公斤降了6块钱左右。此外,农业农村部还就春耕备耕、农村环境整治等问题登上国务院联防联控机制新闻发布台,介绍情况,解疑释惑。
教育话题一直是社会关注的重点,针对高考时间、复学时机的问题,国务院联防联控机制新闻发布会及时给予解答。今年2月12日,面对高考是否要推迟的疑问,教育部高校学生司司长王辉在国务院联防联控新闻发布会上表示,要把考生和涉考工作人员健康安全放在第一位,将密切关注疫情发展变化,审慎研究制定今年高考方案。

                               
登录/注册后可看大图
3月31日,国务院联防联控机制就低风险地区教育开学复课举行发布会。教育部应对新冠肺炎疫情工作领导小组办公室主任、体育卫生与艺术教育司司长王登峰在会上发言。摄影/新京报记者 吴宁
三月份,多个省份公布了中小学的开学复课时间,3月31日下午,教育部应对新冠肺炎疫情工作领导小组办公室主任王登峰在新闻发布会上强调了复学的“三不条件”:“我们除了做好原来的三个开学原则,也就是在疫情得到基本控制之前不开学,在学校的基本防控措施到位之前不开学,校园和师生的公共安全得不到保障之前不开学。现在又特别强调要严防境外输入可能带来的风险。”这次发布会上,还针对海外留学人员安全、毕业生就业等问题做出了回应。

该用户从未签到

1644

主题

23万

回帖

26万

积分

版主

Rank: 7Rank: 7Rank: 7Rank: 7Rank: 7Rank: 7Rank: 7

花潮美女鼠牛虎兔龙蛇马羊猴鸡狗猪多彩人生火热情怀优雅迷人缤纷心情蝴蝶情怀心曲飞扬星星情怀七彩绚丽相遇之美花好月圆心香一瓣飞龙在天王者至尊生财有道大将风范天籁妙音妙笔生花共看流星风雨同行我心永远幸福快乐前途似锦花潮版主

 楼主| 发表于 2020-5-6 19:15 | 显示全部楼层
驻在平安夜前夕 发表于 2020-5-6 19:14
在100次发布会中,农业农村部参加了13次,是曝光率仅次于国家卫生健康委的部门。针对猪肉价格问题,4月28 ...

推动复工复产,口罩增产、社保费减免缓
应对此次疫情初期,口罩短缺成为制约防控的一大问题。在2月5日举行的国务院联防联控机制新闻发布会上,国家发改委社会发展司副司长郝福庆透露,截至2月3日,全国22个重点省份口罩产量已达1480.6万只,比前一日环比增长3.1%,产能利用率达67%。虽然当前口罩产量呈现持续上升势头,他仍提醒,“医用N95口罩重点保障一线、保障医务人员的需要,而一般的防护,尽量不挤占宝贵的医用资源”。

                               
登录/注册后可看大图
2月5日,在国务院联防联控机制新闻发布会上,国家发改委社会发展司副司长郝福庆就口罩产能问题作回应。摄影/新京报记者 吴宁
随着复工复产政策的强力推行,口罩产能不但可以满足国内需要,还能供应出口。在4月5日举办的国务院联防联控机制新闻发布会上,海关总署综合业务司司长金海介绍,从3月1日到4月4日,全国共验放出口主要疫情防控物资价值102亿元。其中,口罩约38.6亿只,价值77.2亿元,此外还有3752万件防护服、241万台红外测温仪等。
疫情防控与复工复产需齐头并进。据了解,在国务院联防联控机制的所有发布会中,有四分之一的内容涉及复工复产、民生兜底等政策。
2月18日召开的国务院常务会议决定,阶段性减免企业社保费和实施企业缓缴住房公积金政策,多措并举稳企业稳就业。两天后的国务院联防联控机制新闻发布会,以阶段性减免企业社保费、医保费和缓缴住房公积金为主题进行解读和回应。
“阶段性减免社保缴费是应对疫情的特殊措施,是我国社会保障历史上的第一次,是为了尽最大可能帮助企业渡过难关,推动企业复工复产,支持稳定和扩大就业。”人力资源和社会保障部副部长游钧介绍,政策明确了免、减、缓三项措施,初步估算可使企业少缴费约5000亿元。

该用户从未签到

1644

主题

23万

回帖

26万

积分

版主

Rank: 7Rank: 7Rank: 7Rank: 7Rank: 7Rank: 7Rank: 7

花潮美女鼠牛虎兔龙蛇马羊猴鸡狗猪多彩人生火热情怀优雅迷人缤纷心情蝴蝶情怀心曲飞扬星星情怀七彩绚丽相遇之美花好月圆心香一瓣飞龙在天王者至尊生财有道大将风范天籁妙音妙笔生花共看流星风雨同行我心永远幸福快乐前途似锦花潮版主

 楼主| 发表于 2020-5-6 19:15 | 显示全部楼层
驻在平安夜前夕 发表于 2020-5-6 19:15
推动复工复产,口罩增产、社保费减免缓应对此次疫情初期,口罩短缺成为制约防控的一大问题。在2月5日举行 ...

■面孔
院士、医生,还有快递小哥
防控新冠疫情,医生、科学家是当之无愧的主角。新京报记者统计,在100场国务院联防联控机制新闻发布会中,有59人次医护人员出席。
其中,1月27日至4月28日,共有北京大学第一医院感染疾病科主任王贵强、北京方庄社区卫生服务中心主任吴浩等27人次一线医护人员走上新闻发布台,回应热点问题。4月29日至5月5日的7天时间,共有来自北京、上海、江苏等地的32名防控专家、医护人员登上发布台,讲述抗击疫情的经历和故事,并向公众普及防控知识。
两院院士中,共有10人次曾出席国务院联防联控机制新闻发布会,中科院院士、中国疾控中心主任高福,中科院院士、干细胞和发育生物学家周琪,中国工程院院士、生物制品与生物药学专家王军志位列其中。

                               
登录/注册后可看大图
3月24日,国务院联防联控机制召开新闻发布会,介绍新冠肺炎疫情防控与医疗诊治有关情况。中国疾控中心研究员吴尊友回答记者提问。摄影/新京报记者 吴宁

该用户从未签到

1644

主题

23万

回帖

26万

积分

版主

Rank: 7Rank: 7Rank: 7Rank: 7Rank: 7Rank: 7Rank: 7

花潮美女鼠牛虎兔龙蛇马羊猴鸡狗猪多彩人生火热情怀优雅迷人缤纷心情蝴蝶情怀心曲飞扬星星情怀七彩绚丽相遇之美花好月圆心香一瓣飞龙在天王者至尊生财有道大将风范天籁妙音妙笔生花共看流星风雨同行我心永远幸福快乐前途似锦花潮版主

 楼主| 发表于 2020-5-6 19:16 | 显示全部楼层
驻在平安夜前夕 发表于 2020-5-6 19:15
■面孔院士、医生,还有快递小哥防控新冠疫情,医生、科学家是当之无愧的主角。新京报记者统计,在100场 ...

中国疾控中心也是一个专家输出大户,从中心主任高福到流行病学首席专家吴尊友、营养学首席专家赵文华、冯录召、张流波、施晓明、李涛等多名研究员曾出席发布会,讲解疫情知识。
对新冠肺炎的治疗和新冠病毒的研究具有高度的专业性,大批院士、专家和一线医护人员走上新闻发布台,有助于公众更多地了解病毒的防控、减少恐慌情绪。
新闻发布台上,除了院士和医生,还有快递小哥。3月9日,中通快递北京厂洼路网点的快递员李杰出现在发布会现场,呼吁尽早允许进社区送快递。随后,全国多地陆续放开快递进社区。

                               
登录/注册后可看大图
3月9日,中通快递北京厂洼路网点快递员李杰在发布会上回答记者提问。摄影/新京报记者 吴宁
此外,北京石景山区八角中里社区党委书记李美红、河北保定阜平县龙泉关镇平石头村第一书记赵振兴等,作为城乡社区防控的代表,也都曾登上国务院联防联控机制的新闻发布台。

您需要登录后才可以回帖 登录 | 立即注册

本版积分规则

小黑屋|手机版|Archiver|服务支持:DZ动力|huachaowang.com Inc. ( 蜀ICP备17032287号-1 )

GMT+8, 2025-12-17 15:36 , Processed in 0.253958 second(s), 22 queries .

Powered by Discuz! X3.4

© 2001-2013 Comsenz Inc.

快速回复 返回顶部 返回列表