花潮论坛

搜索
热搜: 活动 交友 discuz

[时事新闻] 【原创首发】广州荔湾有小区有事情......[6P]

[复制链接]

该用户从未签到

1645

主题

28万

回帖

31万

积分

贵宾

Rank: 7Rank: 7Rank: 7Rank: 7Rank: 7Rank: 7Rank: 7

花潮美女鼠牛虎兔龙蛇马羊猴鸡狗猪春风拂面星星情怀七彩绚丽王者至尊妙笔生花共看流星我心永远幸福快乐指尖上的流年花潮贵宾

 楼主| 发表于 2022-6-11 09:44 | 显示全部楼层
因有确诊病例到访 北京大兴旧宫新苑北区临时封控

2022年06月10日 10:01 北京日报作者:北京日报

  多位居住在北京市大兴区旧宫新苑北区的居民告诉北京日报客户端记者,因7号楼1单元有来自朝阳区天堂超市酒吧的相关确诊病例到访,根据疫情管理要求,旧宫新苑北区6月10日起实施临时封控,区域内人员只进不出。
回复 支持 反对

使用道具 举报

该用户从未签到

1645

主题

28万

回帖

31万

积分

贵宾

Rank: 7Rank: 7Rank: 7Rank: 7Rank: 7Rank: 7Rank: 7

花潮美女鼠牛虎兔龙蛇马羊猴鸡狗猪春风拂面星星情怀七彩绚丽王者至尊妙笔生花共看流星我心永远幸福快乐指尖上的流年花潮贵宾

 楼主| 发表于 2022-6-11 09:45 | 显示全部楼层
毋问我从哪里来 发表于 2022-6-11 09:44
因有确诊病例到访 北京大兴旧宫新苑北区临时封控

2022年06月10日 10:01 北京日报作者:北京日报

  来自旧宫新苑北区居委会筹备组的通告提醒,临时封控期间,请广大居民足不出户,做好健康监测,如有发热等11类新冠肺炎症状,或有就医、购药等需求请拨打社区电话:67987080、18500527080。

                               
登录/注册后可看大图



回复 支持 反对

使用道具 举报

该用户从未签到

1644

主题

23万

回帖

26万

积分

版主

Rank: 7Rank: 7Rank: 7Rank: 7Rank: 7Rank: 7Rank: 7

花潮美女鼠牛虎兔龙蛇马羊猴鸡狗猪多彩人生火热情怀优雅迷人缤纷心情蝴蝶情怀心曲飞扬星星情怀七彩绚丽相遇之美花好月圆心香一瓣飞龙在天王者至尊生财有道大将风范天籁妙音妙笔生花共看流星风雨同行我心永远幸福快乐前途似锦花潮版主

发表于 2022-6-11 21:15 | 显示全部楼层
台湾地区多名儿童感染新冠后出现脑炎,是感染后的新症状吗?

2022
06/08
07:37
澎湃新闻

我国台湾地区多名儿童感染新冠后出现脑炎牵动人心。截至6月7日,台湾地区12岁以下儿童新冠重症累计39例,分别有17例脑炎、8例肺炎、3例败血症、4例哮喘,其中17人死亡。
成大医院小儿胸腔暨重症科主任王玠能表示,岛内确诊儿童出现多起神经学重症,特别是严重脑病变、急性脑炎、猛爆性脑水肿,这是境外经验较为少见的,医界需探讨背后原因。
事实上,儿童感染新冠病毒后出现脑炎并非“境外经验较为少见”。澎湃新闻(www.thepaper.cn)记者翻阅儿科领域的国际期刊《儿科杂志》(JOURNAL OF PEDIATRICS)发现,其最新一期便有关于儿童新冠感染后出现中枢神经系统炎症的研究。

                               
登录/注册后可看大图

回复 支持 反对

使用道具 举报

该用户从未签到

1644

主题

23万

回帖

26万

积分

版主

Rank: 7Rank: 7Rank: 7Rank: 7Rank: 7Rank: 7Rank: 7

花潮美女鼠牛虎兔龙蛇马羊猴鸡狗猪多彩人生火热情怀优雅迷人缤纷心情蝴蝶情怀心曲飞扬星星情怀七彩绚丽相遇之美花好月圆心香一瓣飞龙在天王者至尊生财有道大将风范天籁妙音妙笔生花共看流星风雨同行我心永远幸福快乐前途似锦花潮版主

发表于 2022-6-11 21:15 | 显示全部楼层
驻在平安夜前夕 发表于 2022-6-11 21:15
台湾地区多名儿童感染新冠后出现脑炎,是感染后的新症状吗?

2022

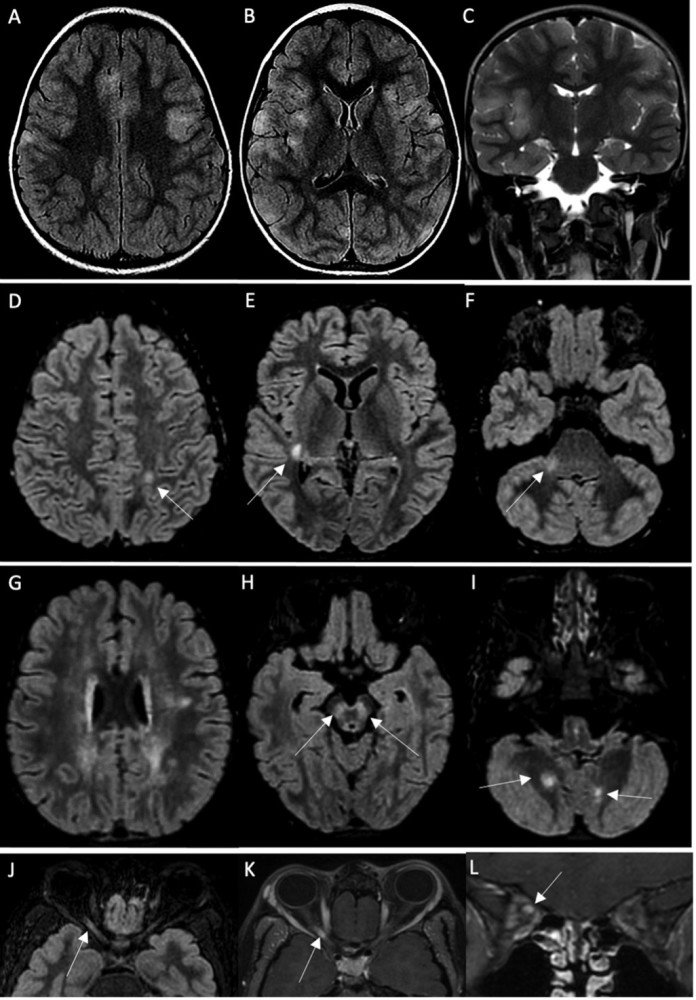
前述研究收集了巴黎地区12家医院转诊到Necker-Enfants Malades医院的19例感染新冠后出现中枢神经并发症的儿童病例。研究团队包括法国巴黎大学Necker-Enfants Malades医院儿科神经内科、法国勒库德雷路易斯巴斯德医院儿科、法国普瓦西CHIPS医院儿科、法国索邦大学Pitié-Salpétrière医院免疫学部门、美国纽约洛克菲勒大学洛克菲勒分校圣吉尔斯传染病人类遗传学实验室等。
该研究确定了19名有 SARS-CoV-2 感染史并表现出多种中枢神经系统(CNS)炎症性疾病的儿童。他们的症状包括脑病、小脑共济失调、急性播散性脑脊髓炎(ADEM)、视神经脊髓炎谱系障碍 (NMOSD) 或视神经炎。
该研究显示,所有患者都有SARS-CoV-2暴露史或核酸检测阳性。在神经系统疾病发作时,8名儿童的新冠病毒核酸检测仍是呈阳性(鼻咽拭子)。58%的患儿(11人)脑脊液异常,74%的儿童(14人)出现MRI异常。
研究者在21%的儿童(4人)身上的髓鞘-少突胶质细胞(MOG)和水通道蛋白4(AQP4)中发现了一种“自身抗体”(autoantibody)共同触发因素。有6名儿童中枢神经系统炎症伴随儿童多系统炎症综合征(MIS-C),但均未发现自身免疫性抗体。89%的患者(17人)接受了抗炎治疗,主要是高剂量的甲基强的松龙注射。截至目前,所有患儿都都已康复且未复发。

回复 支持 反对

使用道具 举报

该用户从未签到

1644

主题

23万

回帖

26万

积分

版主

Rank: 7Rank: 7Rank: 7Rank: 7Rank: 7Rank: 7Rank: 7

花潮美女鼠牛虎兔龙蛇马羊猴鸡狗猪多彩人生火热情怀优雅迷人缤纷心情蝴蝶情怀心曲飞扬星星情怀七彩绚丽相遇之美花好月圆心香一瓣飞龙在天王者至尊生财有道大将风范天籁妙音妙笔生花共看流星风雨同行我心永远幸福快乐前途似锦花潮版主

发表于 2022-6-11 21:16 | 显示全部楼层
驻在平安夜前夕 发表于 2022-6-11 21:15
前述研究收集了巴黎地区12家医院转诊到Necker-Enfants Malades医院的19例感染新冠后出现中枢神经并发症的 ...

此前,临床医生发现成年人感染新冠病毒后,其症状最初多表现在呼吸系统,从无症状感染到严重的呼吸衰竭。但随后,关于神经系统并发症的报道越来越多,包括非特异性头痛、谵妄、头晕和中风。而感染后出现的脑炎、急性播散性脑脊髓炎(ADEM)、视神经炎等严重炎症性中枢神经系统(CNS)相对少见。
相对而言,感染新冠病毒儿童病程通常不太严重,呼吸道症状相比成人要轻一些。但是儿童多系统炎症综合征(MIS-C)却又是儿童感染新冠后比较独特的一种表现,估计每10000名受感染儿童会有1-2人出现MIS-C。一些MIS-C患者还存在神经系统炎症性疾病。
研究者对2020年1月1日至2021年7月1日期间转诊至法国巴黎Necker-Enfantsmalades医院的儿科患者进行了回顾,筛选出了感染新冠病毒六周之内出现中枢神经系统炎症的19名儿童。
患儿的中位年龄为8.7岁(1.4岁–15.3岁),其中12名女孩,7名男孩。在入院前,所有儿童此前都没有严重感染、疫苗并发症或潜在神经系统异常病史。一名儿童有全身性幼年特发性关节炎病史,多年未接受治疗。另一名儿童患有镰状细胞病,并在SARS-CoV-2感染前2周接受了骨髓移植。所有儿童都未接种过SARS-Cov-2疫苗(当时尚未批准)。19名儿童中有6名没有表现出任何SARS-CoV-2感染症状,另外13名儿童出现发烧、腹痛、腹泻、头痛和/或虚弱症状(包括MIS-C)。

回复 支持 反对

使用道具 举报

该用户从未签到

1644

主题

23万

回帖

26万

积分

版主

Rank: 7Rank: 7Rank: 7Rank: 7Rank: 7Rank: 7Rank: 7

花潮美女鼠牛虎兔龙蛇马羊猴鸡狗猪多彩人生火热情怀优雅迷人缤纷心情蝴蝶情怀心曲飞扬星星情怀七彩绚丽相遇之美花好月圆心香一瓣飞龙在天王者至尊生财有道大将风范天籁妙音妙笔生花共看流星风雨同行我心永远幸福快乐前途似锦花潮版主

发表于 2022-6-11 21:16 | 显示全部楼层
驻在平安夜前夕 发表于 2022-6-11 21:16
此前,临床医生发现成年人感染新冠病毒后,其症状最初多表现在呼吸系统,从无症状感染到严重的呼吸衰竭。 ...

其中6名儿童出现MIS-C,10名儿童出现小脑症状(共济失调、头晕),9名认知功能受损或意识改变。其他零星症状是视力丧失、感觉异常或感觉过敏、括约肌障碍或面瘫。研究者在神经系统症状发作后的中位时间为8天(0至17天)对所有患者进行脑脊液常规检验(CSF)。
19名儿童中有11名出现多细胞增多症(中位数23白细胞/μL,最大300,以淋巴细胞或中性粒细胞为主)。单核细胞增生李斯特菌PCR、巨细胞病毒、肠道病毒、单纯疱疹病毒1和2、人疱疹病毒6、副胆囊病毒和水痘-带状疱疹病毒在所有儿童的脑脊液中均为阴性。19例患者中只有1例脑脊液常规检验出现蛋白升高,≥50mg/dL。在10名测试患者中的2名患者中鉴定出脑脊液寡克隆区带(判断鞘内免疫球蛋白合成的金标准)。在对9名患者进行测试时,脑脊液中的干扰素α分泌始终为阴性。在9名患者中测量了脑脊液中的细胞因子(IL1、IL6、IL10、TNF),其中3名患者异常:2名儿童中存在单一的IL6升高(1118和1551pg/ml,正常值200倍);一名儿童的所有3种细胞因子增加≤10倍正常值。
19名患者中有14名MRI异常。4例MRI显示ADEM伴有多灶性脑损伤,1例伴有视神经炎;3例显示胼胝体细胞毒性病变(CLOCC综合征),胼胝体压部扩散受限,T2-FLAIR高信号,2例小脑炎;1例分别显示孤立性视神经炎、孤立性面神经炎和多发性神经炎。19例脊柱MRI中有5例异常:5例显示脊髓炎,其中3例与ADEM相关,1例为孤立性,1例与马尾神经根的对比增强相关。所有脊髓炎病例均显示超过3个椎体受累。

回复 支持 反对

使用道具 举报

该用户从未签到

1644

主题

23万

回帖

26万

积分

版主

Rank: 7Rank: 7Rank: 7Rank: 7Rank: 7Rank: 7Rank: 7

花潮美女鼠牛虎兔龙蛇马羊猴鸡狗猪多彩人生火热情怀优雅迷人缤纷心情蝴蝶情怀心曲飞扬星星情怀七彩绚丽相遇之美花好月圆心香一瓣飞龙在天王者至尊生财有道大将风范天籁妙音妙笔生花共看流星风雨同行我心永远幸福快乐前途似锦花潮版主

发表于 2022-6-11 21:16 | 显示全部楼层
驻在平安夜前夕 发表于 2022-6-11 21:16
其中6名儿童出现MIS-C,10名儿童出现小脑症状(共济失调、头晕),9名认知功能受损或意识改变。其他零星 ...


                               
登录/注册后可看大图
10名测试儿童中有4名的血清中抗MOG(髓鞘少突胶质细胞)和抗AQP4(水通道蛋白4)抗体呈阳性。AQP4主要临床意义在于诊断视神经脊髓炎。MOG的糖蛋白是髓鞘膜和少突胶质细胞表面最外层的膜蛋白,是导致多发性硬化(MS)脱髓鞘的关键成分,针对MOG的抗体能够在体内和体外造成脱髓鞘。

回复 支持 反对

使用道具 举报

该用户从未签到

1644

主题

23万

回帖

26万

积分

版主

Rank: 7Rank: 7Rank: 7Rank: 7Rank: 7Rank: 7Rank: 7

花潮美女鼠牛虎兔龙蛇马羊猴鸡狗猪多彩人生火热情怀优雅迷人缤纷心情蝴蝶情怀心曲飞扬星星情怀七彩绚丽相遇之美花好月圆心香一瓣飞龙在天王者至尊生财有道大将风范天籁妙音妙笔生花共看流星风雨同行我心永远幸福快乐前途似锦花潮版主

发表于 2022-6-11 21:16 | 显示全部楼层
驻在平安夜前夕 发表于 2022-6-11 21:16
10名测试儿童中有4名的血清中抗MOG(髓鞘少突胶质细胞)和抗AQP4(水通道蛋白4)抗体呈阳性。AQP4主要临 ...

一名抗AQP4抗体阳性的女孩14岁,无既往明显病史,她有单独的右眼视觉症状,其他神经系统检查正常,临床诊断为视神经炎,脑部MRI显示视神经炎无脑部或脊柱异常。其他3名抗MOG抗体阳性的儿童分别为1.5岁、4岁和10岁,其中男孩2人。这3例病例均未出现MIS-C症状,二十出现神经系统症状(2人共济失调,1人癫痫发作、意识丧失、面瘫和偏瘫)。其中的第3名患者进入重症监护室。

                               
登录/注册后可看大图

回复 支持 反对

使用道具 举报

该用户从未签到

1644

主题

23万

回帖

26万

积分

版主

Rank: 7Rank: 7Rank: 7Rank: 7Rank: 7Rank: 7Rank: 7

花潮美女鼠牛虎兔龙蛇马羊猴鸡狗猪多彩人生火热情怀优雅迷人缤纷心情蝴蝶情怀心曲飞扬星星情怀七彩绚丽相遇之美花好月圆心香一瓣飞龙在天王者至尊生财有道大将风范天籁妙音妙笔生花共看流星风雨同行我心永远幸福快乐前途似锦花潮版主

发表于 2022-6-11 21:17 | 显示全部楼层
驻在平安夜前夕 发表于 2022-6-11 21:16
一名抗AQP4抗体阳性的女孩14岁,无既往明显病史,她有单独的右眼视觉症状,其他神经系统检查正常,临床诊 ...

事实上,新冠病毒感染后导致神经系统炎症的报道近来颇受关注。来自荷兰鹿特丹大学医学中心的最新研究显示,长新冠患者的这些症状与大脑神经的炎症水平有关。研究团队跟踪重要的大脑炎症标记物,通过影像学手段证明长新冠患者存在严重的神经炎症。

                               
登录/注册后可看大图


回复 支持 反对

使用道具 举报

该用户从未签到

1644

主题

23万

回帖

26万

积分

版主

Rank: 7Rank: 7Rank: 7Rank: 7Rank: 7Rank: 7Rank: 7

花潮美女鼠牛虎兔龙蛇马羊猴鸡狗猪多彩人生火热情怀优雅迷人缤纷心情蝴蝶情怀心曲飞扬星星情怀七彩绚丽相遇之美花好月圆心香一瓣飞龙在天王者至尊生财有道大将风范天籁妙音妙笔生花共看流星风雨同行我心永远幸福快乐前途似锦花潮版主

发表于 2022-6-11 21:17 | 显示全部楼层
驻在平安夜前夕 发表于 2022-6-11 21:17
事实上,新冠病毒感染后导致神经系统炎症的报道近来颇受关注。来自荷兰鹿特丹大学医学中心的最新研究显示 ...

来自荷兰鹿特丹大学研究团队在论文《Long COVID is associated with extensive in-vivo neuroinflammation on [18F]DPA-714 PET》中写道,尽管在新冠感染的急性期,新冠病毒主要影响呼吸系统,但其长期影响则主要是神经系统。最常报告的症状是疲劳、嗅觉丧失、味觉障碍和认知问题。即使在初始(呼吸道)症状相对较轻的患者中,这些症状也会在感染后持续数月。按照美国CDC的数据,有五分之一的新冠患者出现了长新冠症状。然而,人们对这些使人衰弱的症状及其长期影响的病理生理学知识仍然非常缺乏。
该研究聚焦于小胶质细胞,这是定居在脑内的吞噬细胞,在炎症刺激下,其抗原性增强,形态伸展,功能活跃。有炎症发生时,小胶质细胞能迅速增殖,增加或重新表达MHC抗原,迁移并变化成吞噬细胞样形态(阿米巴样)同时爆发性分泌大量细胞因子和细胞毒性物质。
小胶质细胞在脑内各部分均有分布,在灰质中的数量比在白质中的多5倍。海马、嗅叶和基底神经节的小胶质细胞比丘脑和下丘脑的多,而脑干与小脑中最少。小胶质细胞广泛认为是中枢神经系统内的主要免疫效应器,参与诸如HIV脑病、帕金森病、阿尔兹海默病(老年痴呆症),多发性硬化等人神经系统紊乱疾病。

回复 支持 反对

使用道具 举报

该用户从未签到

1644

主题

23万

回帖

26万

积分

版主

Rank: 7Rank: 7Rank: 7Rank: 7Rank: 7Rank: 7Rank: 7

花潮美女鼠牛虎兔龙蛇马羊猴鸡狗猪多彩人生火热情怀优雅迷人缤纷心情蝴蝶情怀心曲飞扬星星情怀七彩绚丽相遇之美花好月圆心香一瓣飞龙在天王者至尊生财有道大将风范天籁妙音妙笔生花共看流星风雨同行我心永远幸福快乐前途似锦花潮版主

发表于 2022-6-11 21:18 | 显示全部楼层
驻在平安夜前夕 发表于 2022-6-11 21:17
来自荷兰鹿特丹大学研究团队在论文《Long COVID is associated with extensive in-vivo neuroinflammatio ...

该研究采用了正电子发射断层扫描(PET)观察了长新冠患者大脑中的[18F]DPA-714水平,从而评估了患者大脑神经中小胶质细胞激活炎症。[18F]DPA-714是PET示踪剂,是一种高亲和力转运体蛋白(TSPO,一种在脑中活化的小胶质细胞和巨噬细胞中表达的线粒体外膜蛋白,作为神经炎症标志物)配体。[18F]DPA-714可用于评估各种神经炎症模型和脑肿瘤模型中的炎症特异性成像。
荷兰鹿特丹大学研究中的第一名长新冠患者是50多岁的荷兰女性,感染前身体健康、全职工作并过着充实的生活。她于2020年12月核酸检测阳性,在感染的急性期,她没有住院,也不需要治疗。自从感染以来,她出现了严重的疲劳、注意力不集中、嗅觉丧失和嗅觉异常、头痛和一些视力问题。她的症状使她无法工作,她症状一直持续至今,也就是感染后15个月。
研究中的第二名长新冠患者一名60多岁的荷兰男性,感染SARS-CoV-2之前身体健康、全职工作。他于2020年3月核酸检测阳性。在SARS-CoV-2感染的急性期,他在护理病房住院了15天。10天后,他因呼吸问题住进重症监护室(ICU),时间为一天。在住院期间,他接受了标准药物治疗。自感染以来,他患有严重的疲劳和注意力不集中,并且无法工作。尽管此后情况有所改善,但他的症状一直持续至今,也就是感染后24个月。
研究者对2名长新冠患者进行了动脉血样动态60分钟[18F]DPA-714PET扫描。为了评估示踪剂代谢,研究者将两名长新冠患者血液中的[18F]DPA-714代谢物与所有其他可用受试者的血液中的代谢物进行了比较。他们评估了全血中的活性浓度,校正了来自动脉血样本的注射活性和示踪母体分数。

回复 支持 反对

使用道具 举报

该用户从未签到

1644

主题

23万

回帖

26万

积分

版主

Rank: 7Rank: 7Rank: 7Rank: 7Rank: 7Rank: 7Rank: 7

花潮美女鼠牛虎兔龙蛇马羊猴鸡狗猪多彩人生火热情怀优雅迷人缤纷心情蝴蝶情怀心曲飞扬星星情怀七彩绚丽相遇之美花好月圆心香一瓣飞龙在天王者至尊生财有道大将风范天籁妙音妙笔生花共看流星风雨同行我心永远幸福快乐前途似锦花潮版主

发表于 2022-6-11 21:18 | 显示全部楼层
驻在平安夜前夕 发表于 2022-6-11 21:18
该研究采用了正电子发射断层扫描(PET)观察了长新冠患者大脑中的[18F]DPA-714水平,从而评估了患者大脑神 ...

研究发现,长新冠患者1在所有脑区的[18F]DPA-714结合严重升高。其2T4k_VB模型获得的全脑灰质定量BPND(=k3/k4)相对于健康对照受试者平均增加了121%。长新冠患者2的[18F]DPA-714结合也升高了,从2T4k_VB模型获得的全脑灰质BPND(=k3/k4)相对于健康对照受试者平均增加79%。

                               
登录/注册后可看大图





回复 支持 反对

使用道具 举报

该用户从未签到

1644

主题

23万

回帖

26万

积分

版主

Rank: 7Rank: 7Rank: 7Rank: 7Rank: 7Rank: 7Rank: 7

花潮美女鼠牛虎兔龙蛇马羊猴鸡狗猪多彩人生火热情怀优雅迷人缤纷心情蝴蝶情怀心曲飞扬星星情怀七彩绚丽相遇之美花好月圆心香一瓣飞龙在天王者至尊生财有道大将风范天籁妙音妙笔生花共看流星风雨同行我心永远幸福快乐前途似锦花潮版主

发表于 2022-6-11 22:29 | 显示全部楼层
北京堂食首日,一家自助餐门店3小时卖出1.6万元

2022
06/08
02:02
财经天下周刊

北京线下餐饮,“烟火气”再度升腾。
6月6日起,北京餐饮经营单位可以有序开放堂食服务。顿时,北京的餐饮圈子兴奋起来,大小门店从6月5日晚上起就闻风而动,洗地、擦窗,准备开门迎客。部分原本营业不过零点的餐厅,更是一刻都等不及,加班加点坐等零点一过久违的消费者纷纷“归来”。当晚,北京著名餐饮街簋街灯火通明,赶来吃小龙虾的消费者们,在夜间排起了长队。
大多数在次日才正式迎客的餐饮门店也不甘落后,打出了五花八门的优惠方案,来吸引消费者,诸如“解封第一餐,全天消费满350减88”,“堂食第一天,到店即送果盘一份”等广告立牌随处可见。
“终于等到这一天了。”在经历了摆摊、外卖、直播推销之后,不少餐饮商家都摩拳擦掌,打算在6月大干一场,“争取把过去丢失的时间都找回来。”但同时,也有部分商家坦言,生意恢复还需要时间,现在还“不知道该如何面对”。

回复 支持 反对

使用道具 举报

该用户从未签到

1644

主题

23万

回帖

26万

积分

版主

Rank: 7Rank: 7Rank: 7Rank: 7Rank: 7Rank: 7Rank: 7

花潮美女鼠牛虎兔龙蛇马羊猴鸡狗猪多彩人生火热情怀优雅迷人缤纷心情蝴蝶情怀心曲飞扬星星情怀七彩绚丽相遇之美花好月圆心香一瓣飞龙在天王者至尊生财有道大将风范天籁妙音妙笔生花共看流星风雨同行我心永远幸福快乐前途似锦花潮版主

发表于 2022-6-11 22:29 | 显示全部楼层
驻在平安夜前夕 发表于 2022-6-11 22:29
北京堂食首日,一家自助餐门店3小时卖出1.6万元

2022

“好久不见”的火锅

一位90后白领告诉《财经天下》周刊,在自己的朋友圈里,不少人在表示,第一顿堂食要去吃火锅,体会一下久违的“烟火气”。当她走进海底捞,收到的第一句问候语,就是“好久不见!”
6月6日中午12点半左右,北京有序开放堂食的第一天,朝阳区的一家海底捞门店就已落座了20余桌食客。尽管这家门店地理位置并不临街,也不是在商场一楼等人流量最大的位置,它依旧是当日该商圈堂食中客流量居首的餐饮门店。不少消费者说,这一句“好久不见”,顿时让人“倍感亲切”。
据店员小赵介绍,前一天,开放堂食的消息刚刚传出,门店就已陆续接到不少预订电话。截止到当天下午一点半时,“晚上已经预定出去了50多桌”。由于门店总共只能同时供60桌消费者用餐,他们不得不拒绝了不少预订。小赵看着门店的热闹,脸上也洋溢着止不住的兴奋。毕竟,他已经休息了一个月时间。
小赵说,与大多数餐饮品牌安排员工轮流上岗不同,在之前的那段时间,“公司前后堂工作人员从平时15人减少至8人左右,再加上门店外卖,基本都是固定人员上班”。其中前堂主要指门店服务员,后堂则包括收台、配锅、备菜、质检等岗位。

回复 支持 反对

使用道具 举报

该用户从未签到

1644

主题

23万

回帖

26万

积分

版主

Rank: 7Rank: 7Rank: 7Rank: 7Rank: 7Rank: 7Rank: 7

花潮美女鼠牛虎兔龙蛇马羊猴鸡狗猪多彩人生火热情怀优雅迷人缤纷心情蝴蝶情怀心曲飞扬星星情怀七彩绚丽相遇之美花好月圆心香一瓣飞龙在天王者至尊生财有道大将风范天籁妙音妙笔生花共看流星风雨同行我心永远幸福快乐前途似锦花潮版主

发表于 2022-6-11 22:30 | 显示全部楼层
驻在平安夜前夕 发表于 2022-6-11 22:29
“好久不见”的火锅
一位90后白领告诉《财经天下》周刊,在自己的朋友圈里,不少人在表示,第一顿堂食要 ...


                               
登录/注册后可看大图
(图/视觉中国)
回复 支持 反对

使用道具 举报

该用户从未签到

1644

主题

23万

回帖

26万

积分

版主

Rank: 7Rank: 7Rank: 7Rank: 7Rank: 7Rank: 7Rank: 7

花潮美女鼠牛虎兔龙蛇马羊猴鸡狗猪多彩人生火热情怀优雅迷人缤纷心情蝴蝶情怀心曲飞扬星星情怀七彩绚丽相遇之美花好月圆心香一瓣飞龙在天王者至尊生财有道大将风范天籁妙音妙笔生花共看流星风雨同行我心永远幸福快乐前途似锦花潮版主

发表于 2022-6-11 22:30 | 显示全部楼层

没有排班的员工,根据公司的安排,可以外出“打工”,比如公司也联系了附近的超市,可为休息员工提供临时工作机会等。“每天工作八小时,在超市打扫卫生、整理仓库一类,每小时工资20多元。”小赵说。不过临时工作机会并不强制,有店员便因为身体原因等,直接歇着了。“大家真是天天都盼着能上班。”
海底捞的门店服务员小李“幸运”地被安排到门店上班。“五一”假期上班时,小李第一时间在自己的朋友圈发布了火锅外卖业务,“如果用户能亲自到门店自提,还能专享7.9折服务”。
前段时间,小李的工作任务和以前有了不同。他从原先的门店配菜员“变”成了摆摊的,还有外卖员。不过他配送的不是火锅配菜,而是门店亲自做的三餐盒饭。
“门店为此特意建了好几个消费者福利群,推出凉拌口水鸡、红烧肉这类团餐小炒,每天由消费者提前在群里接龙想吃的菜品,按需制作然后配送。”小李的胳膊也在这一个月中因为送外卖而晒黑了,但他觉得,门店的外卖生意还不错,“每天光红烧肉、炒土豆这类菜能卖上百份。”不过随着堂食的恢复,海底捞的团餐也同步取消了。

回复 支持 反对

使用道具 举报

该用户从未签到

1644

主题

23万

回帖

26万

积分

版主

Rank: 7Rank: 7Rank: 7Rank: 7Rank: 7Rank: 7Rank: 7

花潮美女鼠牛虎兔龙蛇马羊猴鸡狗猪多彩人生火热情怀优雅迷人缤纷心情蝴蝶情怀心曲飞扬星星情怀七彩绚丽相遇之美花好月圆心香一瓣飞龙在天王者至尊生财有道大将风范天籁妙音妙笔生花共看流星风雨同行我心永远幸福快乐前途似锦花潮版主

发表于 2022-6-11 22:30 | 显示全部楼层
驻在平安夜前夕 发表于 2022-6-11 22:30
没有排班的员工,根据公司的安排,可以外出“打工”,比如公司也联系了附近的超市,可为休息员工提供临时 ...

门店恢复堂食的第一天,在顾客就餐完毕之后,小李特意询问了每一位顾客对今天的服务以及菜品有什么意见或建议。“暂停工作这么久,我们也没想到第一天会有这么多顾客,很担心我们有什么已经做得不够周到的地方。”
前一晚在公司群里接到全员上班的通知,小李一大早就来店里打扫卫生了。这个消息来得有些突然,“我们平常的食材都是早上十点到,结果今天足足晚了一个小时,导致部分菜品上的比较慢,担心影响部分消费者体验。”这一天,小李足足忙到夜里一点多才下班,第二天早上八点半又早早起床赶去门店,进行常规准备工作。“对于我们普通的餐饮工作人员而言,能够正常工作,真是最大的幸福。”
“储值500元,就送82元礼券和67元的单人餐;储值800元,送120元礼券和145元双人餐,优惠多多!”6月6日上午10时,位于朝阳区某商城地下一层的呷哺呷哺门前也热闹起来,一名员工拿着“万份复工套餐大派送”的牌子向来往的顾客介绍门店优惠活动,另一位员工则在一旁整理早已摆好“茶米茶”和碳酸饮料的架子。

回复 支持 反对

使用道具 举报

该用户从未签到

1644

主题

23万

回帖

26万

积分

版主

Rank: 7Rank: 7Rank: 7Rank: 7Rank: 7Rank: 7Rank: 7

花潮美女鼠牛虎兔龙蛇马羊猴鸡狗猪多彩人生火热情怀优雅迷人缤纷心情蝴蝶情怀心曲飞扬星星情怀七彩绚丽相遇之美花好月圆心香一瓣飞龙在天王者至尊生财有道大将风范天籁妙音妙笔生花共看流星风雨同行我心永远幸福快乐前途似锦花潮版主

发表于 2022-6-11 22:31 | 显示全部楼层
驻在平安夜前夕 发表于 2022-6-11 22:30
门店恢复堂食的第一天,在顾客就餐完毕之后,小李特意询问了每一位顾客对今天的服务以及菜品有什么意见或 ...


                               
登录/注册后可看大图
(图/《财经天下》周刊摄)
回复 支持 反对

使用道具 举报

该用户从未签到

1644

主题

23万

回帖

26万

积分

版主

Rank: 7Rank: 7Rank: 7Rank: 7Rank: 7Rank: 7Rank: 7

花潮美女鼠牛虎兔龙蛇马羊猴鸡狗猪多彩人生火热情怀优雅迷人缤纷心情蝴蝶情怀心曲飞扬星星情怀七彩绚丽相遇之美花好月圆心香一瓣飞龙在天王者至尊生财有道大将风范天籁妙音妙笔生花共看流星风雨同行我心永远幸福快乐前途似锦花潮版主

发表于 2022-6-11 22:31 | 显示全部楼层
驻在平安夜前夕 发表于 2022-6-11 22:31
(图/《财经天下》周刊摄)



95后李亦菲趁着中午吃饭的时间,来附近的呷哺呷哺打卡了自己的第一顿堂食。“点再多外卖,也不如店里好吃。”她说。
刚恢复线下上班的店员罗静还有些不适应,面对有一段时间没有碰面的同事和店里越来越多的顾客,她既兴奋又紧张。“我感觉我帮客人点单都生疏了,得反应好一会儿,而且今天早上摆放调料的时候感觉怎么弄都不对,后厨的同事还笑我是在家里‘躺太久’了。”她调侃道。
6月6日晚间9点,距离停止点单还有半小时左右,门店里仍有顾客前来光顾。“前一天晚上得知恢复堂食的消息后,店里就开始补货,没想到今天客流量挺大的,超过了预期,下午的时候又再补了一次货。”负责清理座位的店员说。

回复 支持 反对

使用道具 举报

该用户从未签到

1644

主题

23万

回帖

26万

积分

版主

Rank: 7Rank: 7Rank: 7Rank: 7Rank: 7Rank: 7Rank: 7

花潮美女鼠牛虎兔龙蛇马羊猴鸡狗猪多彩人生火热情怀优雅迷人缤纷心情蝴蝶情怀心曲飞扬星星情怀七彩绚丽相遇之美花好月圆心香一瓣飞龙在天王者至尊生财有道大将风范天籁妙音妙笔生花共看流星风雨同行我心永远幸福快乐前途似锦花潮版主

发表于 2022-6-11 22:31 | 显示全部楼层
驻在平安夜前夕 发表于 2022-6-11 22:31
95后李亦菲趁着中午吃饭的时间,来附近的呷哺呷哺打卡了自己的第一顿堂食。“点再多外卖,也不如店里 ...

自助餐堂食,3小时营业额超1.6万

“先加紧联系各食材供应商送货到门店,然后马上通知住在周围宿舍的员工们全部到店做好消杀工作,布置门店。”自6月5日下午收到堂食通知后的第一时间,“火炉火”自助餐厅的杨店长便迅速安排好了门店恢复工作。他说,这些步骤,前些天他就已经在脑海里预演和期待了无数回。
打开门店大门,餐桌上早已积满了灰尘,“至少需要用抹布擦2遍桌子,才能显得更往常一样干净。”杨店长感慨。
杨店长的门店位于北京东五环的一家商场内,经营韩式烤肉、火锅等多种品类。他告诉《财经天下》周刊,商场过去都是集中在下午2点到4点,通知各个餐饮门店集中送货。“6月5日下午却是个特例,商场将送货时间延长到了晚上八九点,方便大家送货。”
6月6日中午11点左右,店内38个餐桌很快就坐满了,甚至顾客还排起了队。杨店长表示,仅中午店内餐桌的翻台率应该达到了1.5。前一天晚上备好的食材不够用,杨店长不得不再次让公司总部加紧再派送一批食材。

回复 支持 反对

使用道具 举报

您需要登录后才可以回帖 登录 | 立即注册

本版积分规则

小黑屋|手机版|Archiver|服务支持:DZ动力|huachaowang.com Inc. ( 蜀ICP备17032287号-1 )

GMT+8, 2025-12-27 12:38 , Processed in 0.089185 second(s), 22 queries .

Powered by Discuz! X3.4

© 2001-2013 Comsenz Inc.

快速回复 返回顶部 返回列表