花潮论坛

搜索
热搜: 活动 交友 discuz

[时事新闻] 国家卫健委高级别专家组就新型冠状病毒感染的肺炎疫情答记者问

[复制链接]

该用户从未签到

1644

主题

23万

回帖

26万

积分

版主

Rank: 7Rank: 7Rank: 7Rank: 7Rank: 7Rank: 7Rank: 7

花潮美女鼠牛虎兔龙蛇马羊猴鸡狗猪多彩人生火热情怀优雅迷人缤纷心情蝴蝶情怀心曲飞扬星星情怀七彩绚丽相遇之美花好月圆心香一瓣飞龙在天王者至尊生财有道大将风范天籁妙音妙笔生花共看流星风雨同行我心永远幸福快乐前途似锦花潮版主

 楼主| 发表于 2020-3-3 09:10 | 显示全部楼层
驻在平安夜前夕 发表于 2020-3-3 09:09
新冠肺炎患者频繁“复阳”,究竟怎么回事

2020

薛定谔的阳性
目前看来,最早报告出“复阳”案例的是加拿大。
2月14日,加拿大安大略省的卫生厅发言人表示,多伦多市确诊的两例新冠肺炎患者,在临床诊断已经痊愈出院的情况下,两周后测试的鼻咽拭子检测结果仍为阳性,至今在家隔离。
两名患者是夫妻关系。1月23日,56岁的丈夫在从武汉返加后,因为发烧和咳嗽的症状到急诊科求医,四天后确诊。1月31日,他因为恢复良好而被允许出院,成为加拿大首例治愈的案例。而妻子在1月29日确诊后没有出现症状,处于居家隔离的状态,由医学人员通过电话定期追踪其状态,实行医学观察。
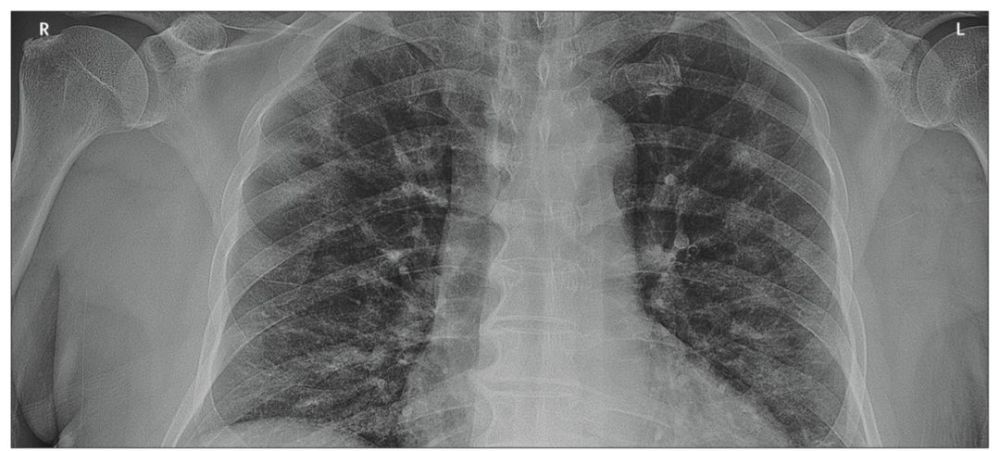
负责治疗首例患者的医院团队对病例进行了详细分析,发表在柳叶刀上的论文《加拿大首例新冠病毒病例,表现为轻度肺炎》显示患者在早期的检查中,除了出现血小板计数减少的症状以外,大多数血液指标都在正常范围内;最具有提示性意义的是胸部X片的扫描,出现了斑片状,双侧支气管血管周围都呈现出模糊不清的混浊状。

                               
登录/注册后可看大图


该用户从未签到

1644

主题

23万

回帖

26万

积分

版主

Rank: 7Rank: 7Rank: 7Rank: 7Rank: 7Rank: 7Rank: 7

花潮美女鼠牛虎兔龙蛇马羊猴鸡狗猪多彩人生火热情怀优雅迷人缤纷心情蝴蝶情怀心曲飞扬星星情怀七彩绚丽相遇之美花好月圆心香一瓣飞龙在天王者至尊生财有道大将风范天籁妙音妙笔生花共看流星风雨同行我心永远幸福快乐前途似锦花潮版主

 楼主| 发表于 2020-3-3 09:11 | 显示全部楼层
驻在平安夜前夕 发表于 2020-3-3 09:10
薛定谔的阳性目前看来,最早报告出“复阳”案例的是加拿大。2月14日,加拿大安大略省的卫生厅发言人表示 ...


                               
登录/注册后可看大图
文章记录,尽管影像学结果有显著异常,但是该患者的状况依旧良好,甚至不需要做插管和补充氧气的治疗,他们认为这点和其它地方所报道出的具有类似X光结果的病例有所不同。
“复阳”的原因还在进行追踪。出席发布会的卫生官员称,他们检测到的是个体样本中残留的一些遗传或者病毒物质,“我们不确定这是活病毒还是死病毒”。
核酸检测在技术上很难区分病毒的“死活”,如果体内只是存在一些核酸片段或者死的病毒,仍然有检测出阳性的可能。
目前的解释是,该名56岁的加拿大患者因为具有高血压的病史,年龄和健康状况的限制影响了他“消灭病毒的能力”。官方表示,还需要更多的阴性样本作为对照,才能确定患者体内是否还具有活体病毒。
该病例一出,在当时已经引起了不小争议。病毒的“潜伏”特性,已经引起了一定程度的关注。随后,在日本发生的病例情况则更加明确,因为该患者“复阳”的症状更明显。
这名家住大阪市的40多岁女导游因为接待过来自武汉的旅游团,1月29日确诊感染,在病情缓解后出院。2月6日,她接受病毒检测的结果为阴性。
但13天后,她感到喉咙不适和胸口疼痛,结果在病毒复查中显示再次确认为阳性。

该用户从未签到

1644

主题

23万

回帖

26万

积分

版主

Rank: 7Rank: 7Rank: 7Rank: 7Rank: 7Rank: 7Rank: 7

花潮美女鼠牛虎兔龙蛇马羊猴鸡狗猪多彩人生火热情怀优雅迷人缤纷心情蝴蝶情怀心曲飞扬星星情怀七彩绚丽相遇之美花好月圆心香一瓣飞龙在天王者至尊生财有道大将风范天籁妙音妙笔生花共看流星风雨同行我心永远幸福快乐前途似锦花潮版主

 楼主| 发表于 2020-3-3 09:11 | 显示全部楼层
驻在平安夜前夕 发表于 2020-3-3 09:11
文章记录,尽管影像学结果有显著异常,但是该患者的状况依旧良好,甚至不需要做插管和补充氧气的治疗,他 ...

值得注意的是,加日两国的出院标准都和中国有差异,比如加拿大参考的是美国疾控中心的方案,在没有临床症状的情况下,患者就可以出院进行自我隔离,但期间需要接受核酸检测。

                               
登录/注册后可看大图
2月29日,美国纽约一家药店门上贴出“口罩售罄”的告示
日本厚生劳动省公布的标准则是,24小时内体温不超过37°5、呼吸道感染症状有转好趋势,前后间隔一定时间做两次病毒检查,若第一次结果为阴性,则间隔时间至少为12小时。
同一时期中国卫健委颁布的第五版诊疗方案规定更为严格:体温恢复正常3天以上、呼吸道症状明显好转,连续两次呼吸道病原核酸检测阴性(采样时间间隔至少1天)。
不过,在相对严格的解除隔离和出院标准下,也还是有“复阳”的案例出现。

该用户从未签到

1644

主题

23万

回帖

26万

积分

版主

Rank: 7Rank: 7Rank: 7Rank: 7Rank: 7Rank: 7Rank: 7

花潮美女鼠牛虎兔龙蛇马羊猴鸡狗猪多彩人生火热情怀优雅迷人缤纷心情蝴蝶情怀心曲飞扬星星情怀七彩绚丽相遇之美花好月圆心香一瓣飞龙在天王者至尊生财有道大将风范天籁妙音妙笔生花共看流星风雨同行我心永远幸福快乐前途似锦花潮版主

 楼主| 发表于 2020-3-3 09:14 | 显示全部楼层
驻在平安夜前夕 发表于 2020-3-3 09:11
值得注意的是,加日两国的出院标准都和中国有差异,比如加拿大参考的是美国疾控中心的方案,在没有临床症 ...

复阳与“假阴性”
学术层面上,已经有国内的学者就此进行探讨。
2月27日,武汉大学中南医院放射科医学博士徐海波团队在医学期刊JAMA(《美国医学协会杂志》)以“研究来信”的形式发表论文,发现至少有一部分康复患者仍可能是病毒携带者。
研究者称,以往关于新冠肺炎的研究,主要集中于确诊感染患者的流行病学、临床和放射学特征上,很少有研究关注康复患者的后续情况。

                               
登录/注册后可看大图
他们对四名已出院或满足解除隔离标准的患者进行多次核酸检测,结果均为阳性。这些患者都是在工作中受到感染的医务工作者,其中两例为男性,年龄在30-36岁之间。
出院前,他们的患病严重程度属于轻度至中度,其中还有一名患者没有症状,但核酸检测结果均为阳性。因为满足包括连续两次病毒核酸结果是阴性在内的条件,所以这些患者都符合出院条件。

该用户从未签到

1644

主题

23万

回帖

26万

积分

版主

Rank: 7Rank: 7Rank: 7Rank: 7Rank: 7Rank: 7Rank: 7

花潮美女鼠牛虎兔龙蛇马羊猴鸡狗猪多彩人生火热情怀优雅迷人缤纷心情蝴蝶情怀心曲飞扬星星情怀七彩绚丽相遇之美花好月圆心香一瓣飞龙在天王者至尊生财有道大将风范天籁妙音妙笔生花共看流星风雨同行我心永远幸福快乐前途似锦花潮版主

 楼主| 发表于 2020-3-3 09:15 | 显示全部楼层
驻在平安夜前夕 发表于 2020-3-3 09:14
复阳与“假阴性”学术层面上,已经有国内的学者就此进行探讨。2月27日,武汉大学中南医院放射科医学博士 ...

出院后,患者在家里继续隔离,5至13天后再次进行重复检测,更换了不同厂家的试剂盒,结果都是阳性。
值得注意的是,经过临床医生的检查,这些患者并没有表现出相应的症状。
他们的胸部CT没有出现明显的变化,这些医护人员没有报告和任何有呼吸道症状的人接触,家庭成员也没有出现受感染的情况。
研究者专门提到,因为研究对象是医护人员,所以他们在居家隔离期间进行了特别的护理。而样本有限,他们认为还应该对非专业人士和重症患者的预后进行更多的研究。

                               
登录/注册后可看大图
论文称,4例符合Covid-19《中华人民共和国医院出院连续性评价标准》的患者在5至13天内有阳性的心动过速结果。这些发现表明至少有比例的恢复患者仍可能是病毒携带者
很多人都感觉到,对于普通患者“复阳”情况的讨论,和疫情发展初期的“假阴性”讨论相似。究竟阴性何时为真,何时为假,核酸检测的准确率是重要的变量。
主要有两个因素在影响着准确率。首先是取样误差的存在,新冠病毒侵害的是人体的呼吸器官,从而导致下呼吸道和肺泡中病毒含量较高。

该用户从未签到

1644

主题

23万

回帖

26万

积分

版主

Rank: 7Rank: 7Rank: 7Rank: 7Rank: 7Rank: 7Rank: 7

花潮美女鼠牛虎兔龙蛇马羊猴鸡狗猪多彩人生火热情怀优雅迷人缤纷心情蝴蝶情怀心曲飞扬星星情怀七彩绚丽相遇之美花好月圆心香一瓣飞龙在天王者至尊生财有道大将风范天籁妙音妙笔生花共看流星风雨同行我心永远幸福快乐前途似锦花潮版主

 楼主| 发表于 2020-3-3 09:15 | 显示全部楼层
驻在平安夜前夕 发表于 2020-3-3 09:15
出院后,患者在家里继续隔离,5至13天后再次进行重复检测,更换了不同厂家的试剂盒,结果都是阳性。值得 ...

根据卫健委颁布的《新型冠状病毒实验室检测技术指南》,采集标本的种类里有上呼吸道标本(咽拭子、鼻拭子、鼻咽抽取物),下呼吸道标本(深咳痰液、呼吸道抽取物、支气管灌洗液、肺泡灌洗液、肺组织活检标本),血液标本,血清标本,后来又增加了粪便、肛拭子。
在实际操作中,采取最多的还是上呼吸道标本——咽拭子、鼻拭子等,下呼吸道标本的采集准确度更高,但操作难度大。比如肺泡灌洗液操作起来复杂,而且容易引起患者喷射,带来感染风险。

                               
登录/注册后可看大图
成都市温江区成都医学城内的成都博奥晶芯生物科技有限公司生产的呼吸道病毒核酸检测试剂盒样品
病毒载量的高低变化是另一个影响因素。复旦大学附属华山医院感染科主任张文宏曾经介绍说,同样是通过咽拭子进行采集,病毒量大的病人“取一次就阳性一次”。对于将要出院的病人来说,他们体内的病毒载量处于临界点,这时就会因载量过低而无法识别。
这也意味着,“复阳”的说法其实不够准确,因为患者在出院时的阴性结果可能存在误差,才使得隔离后期重新呈现阳性。
同时,“复阳”病例的出现模糊了患者的分类方式,这样的患者能否被认为是“康复”状态?他是包含在新增病例还是治愈病例里呢?还有不少的问题等待探讨。
当有记者问到张文宏怎么看“复阳”病例时,他回答说,“这种出现是不奇怪的”。他认为,更应该关心的是——是否存在再次传染的可能。

该用户从未签到

1644

主题

23万

回帖

26万

积分

版主

Rank: 7Rank: 7Rank: 7Rank: 7Rank: 7Rank: 7Rank: 7

花潮美女鼠牛虎兔龙蛇马羊猴鸡狗猪多彩人生火热情怀优雅迷人缤纷心情蝴蝶情怀心曲飞扬星星情怀七彩绚丽相遇之美花好月圆心香一瓣飞龙在天王者至尊生财有道大将风范天籁妙音妙笔生花共看流星风雨同行我心永远幸福快乐前途似锦花潮版主

 楼主| 发表于 2020-3-3 09:16 | 显示全部楼层
驻在平安夜前夕 发表于 2020-3-3 09:15
根据卫健委颁布的《新型冠状病毒实验室检测技术指南》,采集标本的种类里有上呼吸道标本(咽拭子、鼻拭子 ...

持久战?
现实中,“复阳”患者的经历,往往让人心酸。譬如徐州一位治愈出院的患者王某,在出院并且经过14天医学隔离观察后,参加了小区业主自发组织的欢迎仪式。
三天后,王某主动做了核酸复检,结果显示呈阳性。他的家属深感不安,在微信群里发出长文致歉,“非常抱歉,又让大家处于危险中。”根据报道,其所在单元的65名住户如今正在进行居家隔离。
出院后“复阳”,是否还具备传染的能力,是现在最受关注的焦点。
2月27日,钟南山院士在广州疫情发布会上解释了相关疑惑,他认为病毒感染有其规律,完全康复的病人复发的可能性很低;至于出院后测出阳性的病患,可能是粪便、肠道的病毒残余物,“传染性还需不断观察”。
他建议,在家里隔离时查到阳性,可以隔24小时之后再查一次,如果转为阴性,可能是技术上有问题。如果还是阳性,要回到医院做密切观察。
2月29日,天津又出现了一例“复阳”患者,在出院10天后肛拭子标本检测呈阳性,已收入医院观察。此前,他在入院时也有类似的情况出现,确诊时咽拭子标本检测为阴性,肛拭子是阳性。
在不同部位的取样检测结果“互相矛盾”的情况,是新冠病毒让人困惑的另一表现,病毒的分布位置,“侵害”路径和原理具体是怎样的?
这些疑惑还需要更多的检测和发现来解释。归根到底我们对病毒的认知仍然有限,所以才有教授呼吁尽快进行病理解剖,进行系统、完整的病理检查——通过对遗体的解剖和取样,可以研究病毒在人体的分布状态,以及身体哪个部位对病毒有反应。两天前,首份解剖报告已经完成。
此外,目前还没有发现“复阳”患者传染其他人的案例。

                               
登录/注册后可看大图
广东省疾控中心副主任宋铁表示,广东初步数据显示14%的出院患者有“复阳”现象,已经对他们进行集中的医学观察,但没有出现第二代病例的密切接触者。
对出院病例进行跟踪随访的措施在不断加强。譬如广东已经规定病例出院后在当地医疗机构集中隔离医学观察至少 14 天,期间第 7 天、14 天复查鼻咽拭子 + 肛拭子核酸检测。
张文宏医生则提到,“针对(“复阳”)这件事情,上海很早就做了预备方案,即两次核酸阴性以后,还会给病人同时做肛拭子。”
2月19日发布的《新型冠状病毒肺炎诊疗方案(试行第六版)》也增加了出院后注意事项:建议在出院后第2周、第4周到医院随访、复诊。
“复阳”案例的出现,再一次显示出新冠病毒不为人知的特性。我们与病毒的抗争,也许是一场群策群力的持久战。
作者 | 南风窗高级记者 黄靖芳
排版 | GINNY
南风窗新媒体出品

该用户从未签到

1644

主题

23万

回帖

26万

积分

版主

Rank: 7Rank: 7Rank: 7Rank: 7Rank: 7Rank: 7Rank: 7

花潮美女鼠牛虎兔龙蛇马羊猴鸡狗猪多彩人生火热情怀优雅迷人缤纷心情蝴蝶情怀心曲飞扬星星情怀七彩绚丽相遇之美花好月圆心香一瓣飞龙在天王者至尊生财有道大将风范天籁妙音妙笔生花共看流星风雨同行我心永远幸福快乐前途似锦花潮版主

 楼主| 发表于 2020-3-3 09:17 | 显示全部楼层
驻在平安夜前夕 发表于 2020-3-3 09:16
持久战?现实中,“复阳”患者的经历,往往让人心酸。譬如徐州一位治愈出院的患者王某,在出院并且经过14 ...

天津又有2例已出院确诊病例核酸复查阳性

2020
03/02
20:41
津云锋声

津云新闻记者 刘畅 马扬洋
从市疾控中心获悉,本市第20例、121例确诊病例,出院后对其继续集中隔离观察期间核酸复检为阳性,已转入市海河医院观察。据悉,第20例病例2月23日出院后,一直在河东区集中隔离观察点进行医学观察;第121例确诊病例2月24日出院后,一直在宝坻区集中隔离观察点进行医学观察。3月2日,二人复查核酸检测为阳性,再次转入海河医院观察。
第43例确诊病例2月11日出院后,一直在宝坻区集中隔离观察点进行医学观察,27日复查核酸检测结果为阳性,再次转入海河医院观察。该患者2月29日、3月1日两次核酸检测结果均为阴性,经市专家组讨论,于今日出院,再次转入宝坻区集中隔离观察点进行医学观察。

该用户从未签到

1644

主题

23万

回帖

26万

积分

版主

Rank: 7Rank: 7Rank: 7Rank: 7Rank: 7Rank: 7Rank: 7

花潮美女鼠牛虎兔龙蛇马羊猴鸡狗猪多彩人生火热情怀优雅迷人缤纷心情蝴蝶情怀心曲飞扬星星情怀七彩绚丽相遇之美花好月圆心香一瓣飞龙在天王者至尊生财有道大将风范天籁妙音妙笔生花共看流星风雨同行我心永远幸福快乐前途似锦花潮版主

 楼主| 发表于 2020-3-3 12:39 | 显示全部楼层
世卫组织考察组成员王广发:密闭空间里有病人,其他人戴口罩也未必幸免

2020
03/02
21:08
红星深度

王广发:气溶胶传播,病毒悬浮在空间中,可以维持时间比较长,而且可以通过气溶胶远程输送。比如通过空调系统,从一间屋子到另一间屋子,可以引起远距离传播。如果是在特别密闭的空间里有病人,其他人即使戴着口罩,可能也不一定幸免。
2月29日,国家卫健委发布《中国-世界卫生组织新型冠状病毒肺炎(COVID-19)联合考察报告》(下文简称:报告)。这份报告汇集了来自中、美、德、俄、日、韩等国和世界卫生组织的25名专家在中国为期9天的考察意见。迄今为止,这份报告是对新冠肺炎最新研究结果与应对措施的最全面的公开报告。
这份报告,将考察组的主要发现分为6个方面,包括:病毒,疫情爆发,传播动力学,疾病进程和严重性,中国的应对措施,以及知识局限。报告明确指出,新冠病毒几乎人人易感,至于感染后是否具有免疫力,还需要进一步研究。
联合考察组由世卫组织总干事高级顾问布鲁斯·艾尔沃德与中国国家卫健委专家组组长梁万年担任组长。各国成员中,北京大学第一医院呼吸和危重症医学科主任王广发最为人熟知。疫情爆发以后,他曾作为第二批卫健委专家组成员进入武汉,也是最早被确认感染和治愈的医务人员之一。
3月1日,考察返京正在隔离的王广发接受了红星新闻独家专访,解读中国-世卫组织联合考察报告。在专访中,王广发就考察中关注到的病毒溯源、回顾性检测、密切接触者管理、病毒检测标准变化等问题进行了详细了解答。在采访中王广发首次谈到,他是通过气溶胶传播感染了新冠病毒,但感染后没有传染任何一人。并对气溶胶传播与儿童、无症状感染者传染性较低做出了分析。

                               
登录/注册后可看大图
▲图片来源见水印

该用户从未签到

1644

主题

23万

回帖

26万

积分

版主

Rank: 7Rank: 7Rank: 7Rank: 7Rank: 7Rank: 7Rank: 7

花潮美女鼠牛虎兔龙蛇马羊猴鸡狗猪多彩人生火热情怀优雅迷人缤纷心情蝴蝶情怀心曲飞扬星星情怀七彩绚丽相遇之美花好月圆心香一瓣飞龙在天王者至尊生财有道大将风范天籁妙音妙笔生花共看流星风雨同行我心永远幸福快乐前途似锦花潮版主

 楼主| 发表于 2020-3-3 12:39 | 显示全部楼层
驻在平安夜前夕 发表于 2020-3-3 12:39
世卫组织考察组成员王广发:密闭空间里有病人,其他人戴口罩也未必幸免

2020

关于病毒
病毒未发生明显变异
红星新闻:报告提到,对2019年12月底到2020年2月中旬在不同地点采集的患者标本中分离出的104株COVID-19病毒株,进行了全面基因组测序分析,结果显示他们具有99.9%的同源性,这个结果反映了什么问题?
王广发:99.9%的同源性反映出病毒之间的差异非常小,病毒在复制的过程中没有出现非常明显的变异。表明这种病毒目前来看还是比较稳定,可能至少暂时不会发生变异。
红星新闻:报告提到,流行曲线的相关分析,数据来源于全国法定传染病报告系统(IDIS)。并称系统要求每个新冠肺炎病例诊断后,负责医生要通过该系统进行网络直报。无症状感染者也要通过该系统进行报告。病例的信息也在该系统里实时更新。据您了解报告中提到的全国法定传染病报告系统(IDIS)是每个大夫都可以上报吗?这个系统是怎么工作的?对疫情防控有什么作用?
王广发:我不是特别清楚。但是医院有专门部门来负责,负责的部门是医务处和感控处。因为疫情的判断不是靠某个大夫个人做出来的,而是需要大家会诊,尤其是一些原因不明的疾病。所以网络直报不是对医生而言,而是对医院而言的。医院要上报病人有一套程序,发现病人,然后相关专家会诊完有结论才上报。

                               
登录/注册后可看大图
▲第二批卫健委专家组成员王广发

该用户从未签到

1644

主题

23万

回帖

26万

积分

版主

Rank: 7Rank: 7Rank: 7Rank: 7Rank: 7Rank: 7Rank: 7

花潮美女鼠牛虎兔龙蛇马羊猴鸡狗猪多彩人生火热情怀优雅迷人缤纷心情蝴蝶情怀心曲飞扬星星情怀七彩绚丽相遇之美花好月圆心香一瓣飞龙在天王者至尊生财有道大将风范天籁妙音妙笔生花共看流星风雨同行我心永远幸福快乐前途似锦花潮版主

 楼主| 发表于 2020-3-3 12:39 | 显示全部楼层
驻在平安夜前夕 发表于 2020-3-3 12:39
关于病毒病毒未发生明显变异红星新闻:报告提到,对2019年12月底到2020年2月中旬在不同地点采集的患者标 ...

关于动物溯源
病毒溯源尚无明确结论
红星新闻:报告提到,中国已经在此次疫情动物溯源的三个重要领域开展工作包括,对武汉2019年12月发病病例开展早期调查;对华南海鲜批发市场及其他市场进行环境采样;对华南海鲜批发市场售卖的野生动物的来源和种类以及市场关闭后这些动物的去向开展详细调查。作为考察组专家,据您了解这方面工作进展如何,有结论吗?动物溯源有何意义?
王广发:溯源工作不是那么容易,是一个比较难的问题。现在国内外多个学科的专家正在做这些研究,但是现在还没有明确结论。所以考察过程中世卫组织的专家也提出要加强病毒溯源工作。
病毒溯源工作实际上非常有意义,比如SARS,我们发现了它的中间宿主,发现了它的源头在哪。只要发现了病毒的源头,我们只要不接触这些野生动物,病毒就不会再向人类传播。同样新冠病毒也是相似的。只要找到病毒源头,把源头掐掉,可能疫情就会根除。如果不能找到源头并阻断,病毒就可能常驻人间了。
红星新闻:现在新冠肺炎是否会像转成一个长期流行的态势?
王广发:现在还不是特别清楚。我们希望它能够完全消失掉。但是因为这个病有一个特点就是轻型和普通型患者占到了80%的水平,实际上甚至超过80%的水平。还发现一些隐性感染的病例,就是无症状的感染者。虽然不多,但这类病人和轻症病人在病例发现时往往比较困难。
而且这类病人也有排毒。排毒就意味着有传染性。排毒量越大,传染性越强。排毒量少,传染性就会低一些。现在来看,无症状感染者与轻症患者排毒量不像重症病人那么多,那么它的传染性也会低一些吧?它的传染性具体有多强,现在还不知道。这种隐匿感染者的存在,也为我们根除这种病提出了挑战。

                               
登录/注册后可看大图
▲中国国家卫健委专家组组长梁万年。联合考察组由世卫组织总干事高级顾问布鲁斯·艾尔沃德与中国国家卫健委专家组组长梁万年担任组长。图据央视新闻

该用户从未签到

1644

主题

23万

回帖

26万

积分

版主

Rank: 7Rank: 7Rank: 7Rank: 7Rank: 7Rank: 7Rank: 7

花潮美女鼠牛虎兔龙蛇马羊猴鸡狗猪多彩人生火热情怀优雅迷人缤纷心情蝴蝶情怀心曲飞扬星星情怀七彩绚丽相遇之美花好月圆心香一瓣飞龙在天王者至尊生财有道大将风范天籁妙音妙笔生花共看流星风雨同行我心永远幸福快乐前途似锦花潮版主

 楼主| 发表于 2020-3-3 12:40 | 显示全部楼层
驻在平安夜前夕 发表于 2020-3-3 12:39
关于动物溯源病毒溯源尚无明确结论红星新闻:报告提到,中国已经在此次疫情动物溯源的三个重要领域开展工 ...


                               
登录/注册后可看大图
▲世卫组织总干事高级顾问布鲁斯·艾尔沃德。联合考察组由世卫组织总干事高级顾问布鲁斯·艾尔沃德与中国国家卫健委专家组组长梁万年担任组长。图据央视新闻。
关于感染者
儿童、无症状者传染性弱
红星新闻:报告中也提到,无症状感染者比例尚不明确,但相对比较罕见,不是传播主要驱动因素。
王广发:因为我自己感染以后也接触了不少人,发病前没有做任何防护,发病后自己做了防护。现在我了解的情况是,我没有传染给任何一个人。目前也有报告说潜伏期病人也有传染性,但传染性不像有明显症状的人那么强。
红星新闻:另外,报告中提到,18岁以下人群罹患率相对较低只有2.4%。并且没有发现儿童传染成人的情况。是否能证明儿童患病者症状不明显,门诊发现几率低,传染性低?
王广发:在疫情最初的时候,大家发现儿童病例比较少,曾经也有看法“儿童不易感”。现在来看,这主要是因为,初期病例主要和流动人口有关系,与华南海鲜市场接触史有关系。儿童因为很少流动,很少去买东西。所以最初的时候,没有看到儿童病例。实际上儿童病例还是能暴露出来的,这个病目前是人人易感。
但现在观察到的情况是儿童相对较轻。我认为其实只要排毒,成人也可以被儿童感染。但现在怎么解释(未发现儿童感染成人)还需要一些科学研究来得出结论。可能与儿童的生理结构、机体的功能状态、免疫状态有一些关系。

该用户从未签到

1644

主题

23万

回帖

26万

积分

版主

Rank: 7Rank: 7Rank: 7Rank: 7Rank: 7Rank: 7Rank: 7

花潮美女鼠牛虎兔龙蛇马羊猴鸡狗猪多彩人生火热情怀优雅迷人缤纷心情蝴蝶情怀心曲飞扬星星情怀七彩绚丽相遇之美花好月圆心香一瓣飞龙在天王者至尊生财有道大将风范天籁妙音妙笔生花共看流星风雨同行我心永远幸福快乐前途似锦花潮版主

 楼主| 发表于 2020-3-3 12:40 | 显示全部楼层
驻在平安夜前夕 发表于 2020-3-3 12:40
▲世卫组织总干事高级顾问布鲁斯·艾尔沃德。联合考察组由世卫组织总干事高级顾问布鲁斯·艾尔沃德与中国 ...

关于密切接触者
初期管理密切接触者非常重要
红星新闻:在报告中我注意到,各地密切接触者的追踪人数相差很大。密切接触者确认感染率也相差很大。是否与各地密切接触者管理的执行标准不一致有关系?
(记者注:报告提到,截止2月17日深圳2842名已确认的密切接触者,已追踪到2842人,其中2240人结束医学观察。88人被确认感染新冠病毒,感染率为2.8%。四川省25493名已确认密切接触者,已追踪到25347人,其中23178人结束了医学观察。密切接触者中0.9%人后来被确认感染。截止2月20日,在广东省9939名已确认的密切接触者中,已追踪到9939人,其中7765人结束医学观察。密切接触者中,479人,4.8%后来被确认感染。)
王广发:标准现在基本上是各地公认的,国家疾控中心有一个密接的标准。这种差别可能和接触强度有关系。有的人与患者呆了一个小时,有人与患者呆了几天,接触强度就不同。另外还与人群差异、暴露方式、密切接触时间、以及病人发病都有关系。
红星新闻:报告提到,第一阶段,1月10日中国分享了全基因组序列,制定下发诊疗、监测、流调,密切接触者管理,还有实验室检测方案。那么从时间上来看,最早对密切接触者的管理是在什么时候开始的?
王广发:我是第二批去武汉的专家,实际上第一批去的专家主要已经在做这件事了。实际上,初期管理密切接触者非常重要。
红星新闻:在报告中提到,武汉有超过1800流行病学调查小组,每组至少5人,每天对成千上万的密切接触者进行追踪。据您考察了解,这些流行病学调查小组如何工作?密切接触者管理情况怎样?
王广发:他们的工作方式,我不具体了解。但是我们在和武汉当地专家交流时获悉,他们大量的流调人员和医疗人员一样,都是从外地支援。具体工作方式我不了解,但是他们做的工作就是确诊一个病例,他们要去调查他的密切接触者,把密接者隔离起来进行观察。另外,他们要对病例溯源,就是了解患者是怎么感染的?在他得病之前他接触了谁?有可能通过追溯接触谁,又找着新的病例。
流行病学的调查,实际上在感染病的防控当中是非常重要,它可以给我们提供很多信息。另外我们通过流行病学调查,可能对它的传播途径有一个初步了解。
关于气溶胶传播
“我觉得我是气溶胶传播感染的”

                               
登录/注册后可看大图
▲王广发病愈走出医院 图据新京报
红星新闻:报告中对新冠肺炎传播途径提到,无防护下通过飞沫和密切接触,在感染和被感染者之间发生传播。不认为空气传播是主要方式。但在医疗机构中或可能存在因医疗操作产生的气溶胶而发生空气传播的可能性。如何理解?
王广发:现在我把我患病的过程的拼图基本拼接完毕,我觉得我是气溶胶传播感染的。气溶胶的传播就是病毒颗粒可能粘在一些粉尘上,或者很细微的液体滴上,然后悬浮在空气当中。它不像飞沫比较大,很快就掉下来落到物质的表面。要不就地面,要不然就家具衣服这些表面,这样的传染性就小了。
气溶胶传播,病毒悬浮在空间中,可以维持时间比较长,而且可以通过气溶胶远程输送。比如通过空调系统,中央空调有回风,从一间屋子到另一间屋子,可以引起远距离传播。虽说不常见,可以说很少,但是我认为是有的。游轮上的通风,空间密闭情况怎么样,我不清楚。如果是在特别密闭的空间里有病人,其他人即使戴着口罩,可能也不一定幸免。

该用户从未签到

1644

主题

23万

回帖

26万

积分

版主

Rank: 7Rank: 7Rank: 7Rank: 7Rank: 7Rank: 7Rank: 7

花潮美女鼠牛虎兔龙蛇马羊猴鸡狗猪多彩人生火热情怀优雅迷人缤纷心情蝴蝶情怀心曲飞扬星星情怀七彩绚丽相遇之美花好月圆心香一瓣飞龙在天王者至尊生财有道大将风范天籁妙音妙笔生花共看流星风雨同行我心永远幸福快乐前途似锦花潮版主

 楼主| 发表于 2020-3-3 12:40 | 显示全部楼层
驻在平安夜前夕 发表于 2020-3-3 12:40
关于密切接触者初期管理密切接触者非常重要红星新闻:在报告中我注意到,各地密切接触者的追踪人数相差很 ...

关于病毒传播系数
若传染系数小于1就会逐渐被控制
红星新闻:报告提到病毒的传播系数是2—2.5。这个系数有没有变化,与什么有关系?
王广发:传播系数就是一个人传播给几个人。2和2.5反映了比较强的传染性。但是这个数据是无防护情况下的,来源于早期数据。这与早期防护不到位还有意识不到位有关系。如果加了防护就不可能这么高。现在的传播系数就没有那么高了。如果传染系数小于1,传染就会逐渐被控制住。
红星新闻:报告提到,医疗机构、监狱这类特殊场所不是疫情扩散主要驱动力。但3月1日,武汉通报监狱系统806人确诊。
王广发:相对于约8万例病例,在医院这种环境中传播的比例还是比较低的。他们不是社会流动人口,加强防护以后很少感染。与SARS相比,医院没有成为传染源,反映了这次医疗机构的防控意识比较强。
这次疫情初期的一些医务人员感染,后来通过疾控系统分析,主要是因为当时病人突然增多,防控隔离不到位,病人隔离也不到位。病人集聚在急诊室、发热门诊,其他科室防控意识就不是太强,引起的其他科室传播。
这次专家组考察的过程中,还没有曝出监狱感染。现在来看,监狱其实相对比较容易控制,因为它与外界交流少。只要把与外界交流的狱警、新来犯人控制住,这个群体相对容易管理。
关于回顾性检测
检测显示:1月以前没有大规模爆发
红星新闻:报告中还提到,联合考察组系统询问了中国常规呼吸道疾病监测系统中针对新冠肺炎进行监测的情况,包括对流感样病例(ILI)和严重急性呼吸道感染(SARI)监测样本进行RT-PCR监测。现在回溯2019年11月到2020年1月的流感和SARI的样本进行检测,有何意义?
王广发:因为我国与许多国家都开展流感样病例监测,因为要预测流感的流行,监测流感病例是否增加,流感流行的类型以及流感病毒是否变异,所以建立这套系统,提出预警,指导防控。这套目前已经比较成熟,它会定期收集哨点医院一定量的样本。
现在回头去做这些早期样本中的新冠检测,是一个回顾性的诊断。现在我们发现最早的新冠病例是在2019年12月,那么回顾性诊断就要提得更早,检测12月以前当时是不是就已经有很多病人误诊?或者是不是当时疫情就已经流行得很严重,只是我们没有发现?是不是疫情防控之前就已经大规模流行?它的流行强度是什么?但这和哨点医院的数量,每个哨点医院的采样情况都有关系。目前我们掌握的武汉的情况,好像没有这个问题。至少它在之前没有广泛在社会上流传开。
(记者注:报告提到,武汉对2019年11月和12月以及2020年1月前两周的ILI标本进行新冠肺炎检测后发现,2019年的样本未见阳性结果,1月第一周有1个成人标本呈阳性,1月第二周有3个成人标本呈阳性。所有儿童标本均为阴性,有些为流感阳性。在广州,1月1日至14日期间,15000多例ILI或SARS标本中,只有一例新冠病毒检测阳性。在北京一家医院,从2019年1月28日至2020年2月13日收集的1910份标本中没有发现一例阳性。在深圳的一家医院,40例ILI样本中业务新冠病毒检测阳性。)

该用户从未签到

1644

主题

23万

回帖

26万

积分

版主

Rank: 7Rank: 7Rank: 7Rank: 7Rank: 7Rank: 7Rank: 7

花潮美女鼠牛虎兔龙蛇马羊猴鸡狗猪多彩人生火热情怀优雅迷人缤纷心情蝴蝶情怀心曲飞扬星星情怀七彩绚丽相遇之美花好月圆心香一瓣飞龙在天王者至尊生财有道大将风范天籁妙音妙笔生花共看流星风雨同行我心永远幸福快乐前途似锦花潮版主

 楼主| 发表于 2020-3-3 12:41 | 显示全部楼层
驻在平安夜前夕 发表于 2020-3-3 12:40
关于病毒传播系数若传染系数小于1就会逐渐被控制红星新闻:报告提到病毒的传播系数是2—2.5。这个系数有 ...

关于检测标准变化
前期试剂盒不够,强调流行病学史,常常漏检
红星新闻:报告提到,“根据早期的病例定义,进行实验室检测的疑似病例需要与湖北或者其他确诊病例的流行病学暴露史。然而,最近实行的临床诊疗方案,允许临床医生以较低的怀疑指数进行测试。”这是否意味着,对疑似病例和病毒检测的标准有所调整?
王广发:检测对疾病防控非常重要。最早因为没有检测试剂,病原还不清楚,所以临床诊断的方法是排除法。把最早看肺炎的人,通过临床症状、体征、影像学、实验室检测都不是其他的肺炎,才考虑是不是这个病。当时还没有名字,叫不明原因肺炎。而且认识到它白细胞不高,淋巴细胞常常偏低,所以命名一个不明原因病毒性肺炎。但区分不同的肺炎病人非常重要。既能及早展开针对性治疗,又能减少对医疗资源的无谓占用。
实际情况是,确定实验室检测以后,初期的试剂盒跟不上。发烧病人来了很长时间才能确诊,才能收住。这就造成很多病人还在社会上流动,增加传染风险。或者他们在急诊室、发热门诊集聚,给其他就诊的病人也造成感染。初期诊断能力不足,导致病人不能及时确诊。明确诊断以后,会有助于我们及时对病人进行隔离。在把诊断下沉其实是有助于疾病防控的。
但不能把这个标准弄得特别高,比如说一定强调它有流行病学史,一定要强调,他到过武汉一定要强调他的肺炎多典型,这常常是漏诊。
所以在检测能力有一定的冗余的情况下,对有些可疑的病人给他早做检测,不要等到他很重了才做。因为流行病学史有可能是不准确,病人有遗忘,甚至有些病人因为各种各样的原因,不说实话。这样才能尽早展开针对性治疗。
关于出院标准
标准几乎没有调整,两次检测防止假阴性
红星新闻:报告中提到,现在的出院标准是,无发热>3天,症状消失,影像学表现明显改善,间隔24小时两次核酸检测为阴性。您当时出院也是这个标准吗?这个标准有没有经过调整?
王广发:这个标准基本上没有改变过。这实际上是根据临床经验来的,我觉得这个标准目前来讲还是比较合适的。因为肺炎一般三天五天不发烧基本就向痊愈方向发展。医学影像在改善,虽说没有完全消失,但是可能已经没有活的病原的复制。这种情况下,就认为他已经进入恢复期。再加上病原学检测,也是阴性,就进一步证实了没有病毒复制,也不排毒了。但任何检测方法都不是100%准确的,有一定假阴性率,可能与采样有关系。所以做两次检测都是阴性,错误概率就大大降低了。我当时出院也是这样一个过程。
红星新闻:那您现在身体感觉怎么样?
王广发:因为我的肺炎很轻,没有明显咳嗽,没有呼吸困难,其实复查影像学也没有特别必要。
红星新闻:那您最近还在临床部门吗?
王广发:我随考察组再次去了武汉,现在回来又要隔离,尽管作为治愈患者已经有了抗体。但按照规定,我还是需要隔离。
关于病理解剖
看待病理解剖要一分二,结合临床
红星新闻:近日发布的新冠患者病理解剖报告您有没有关注?对临床有没有知道作用?
王广发:我觉得肯定是有帮助的,但是要一分为二看。因为这些病例解剖的病人都是去世的病人。相对来讲,都是重症、危重症患者,而且常常是终末期的重症。
他的情况只反映这个疾病终末期的状态。疾病终末期的状态有一个比较难回答的问题,就是谁是因谁是果。比如病人气道里的黏液,它肯定是个果,可能也是其他病例损害的因。那么它仅在疾病终末期出现,还是在疾病更早期就出现了,还是需要思考的。另外从临床处理上,有了黏液是不是注意痰液的稀化、引流,这样就能改善?还是需要临床观察的。其实,在严重感染,然后导致ARDS,最后导致死亡的病人,气道内的黏液并不少见。所以这个问题还是需要结合临床客观理性看待,不要过分解读。
红星新闻记者 赵倩 吴阳
编辑 官莉

                               
登录/注册后可看大图




该用户从未签到

1644

主题

23万

回帖

26万

积分

版主

Rank: 7Rank: 7Rank: 7Rank: 7Rank: 7Rank: 7Rank: 7

花潮美女鼠牛虎兔龙蛇马羊猴鸡狗猪多彩人生火热情怀优雅迷人缤纷心情蝴蝶情怀心曲飞扬星星情怀七彩绚丽相遇之美花好月圆心香一瓣飞龙在天王者至尊生财有道大将风范天籁妙音妙笔生花共看流星风雨同行我心永远幸福快乐前途似锦花潮版主

 楼主| 发表于 2020-3-3 13:22 | 显示全部楼层
瑞德西韦临床试验入组患者不足,和太极拳及豆浆疗法抢人

2020
03/02
13:33
界面新闻

除了瑞德西韦在临床试验上设置的较高门槛外,至今已有接近300项新冠肺炎临床试验在中国临床试验注册中心上登记,这无疑会起到“分流“作用。缔脉生物副总裁刘熠认为,短时间内大量出现的临床试验会造成有限的临床试验资源不能有效分布和利用,比如真正有价值研究的入组速度却得不到保障。
记者 | 谢欣
1
瑞德西韦(Remdesivir)把全国人民对一项临床试验的关注度提升到了史无前例的高度。但随后,被大众给予厚望的瑞德西韦却传出临床试验患者入组不足的消息。
除了瑞德西韦在临床试验上设置的较高门槛外,至今已有接近300项新冠肺炎临床试验在中国临床试验注册中心上登记,这无疑会起到“分流“作用。
但这近300项中,也不乏太极拳、中药注射液、大豆提取物等治疗手段,无论是在医药产业内部还是普通大众中都产生了不少质疑声。
那么,这些“神奇”的临床试验都是如何诞生的,又是如何“一窝蜂”而上乱成了“一锅粥”?
非传统意义的临床试验
实际上,目前开展的绝大多数针对新冠肺炎的治疗性临床试验都并非大众传统认知中的临床试验。
临床试验一般根据发起者不同被分成两种,一种是制药企业申办的研究 ( industry-sponsored trial,IST),另一种则是由研究者或学术机构发起的临床研究( investigator-initiated clinical trial,IIT)。
北京中卫保险经纪总经理曹丽君对界面新闻记者介绍,后者的研究范围往往是前者未涉足的领域,双方并行互为补充,从而更好地推进药物研究的深度和广度,更多地获得研究数据,为循证医学提供依据。
而目前上报至国家药监局药品审评中心(CDE)并获准开展临床试验的药品实际上仅有瑞德西韦、法维拉韦(法匹拉韦)、BDB-001(C5a单抗)与CAStem细胞注射液。
其他无论是氯喹、托珠单抗、克力芝、阿比多尔或者是太极拳等临床试验,都属于“研究者发起的临床研究”。根据申办流程,本就无需上报国家药监局药品审评中心,这是由其自身性质所决定的,并不会单因为审批流程的异同而决定其研究质量高低,如在国外就曾有过许多研究者发起的临床研究取得了重磅研究成果。

                               
登录/注册后可看大图
中国临床试验登记网站上登记的部分新冠肺炎临床试验
之所以会出现研究者发起的临床研究这种形式,药物研发从业者柯楠对界面新闻记者解释了原因——制药企业的逐利性,使得一些已上市的老药品、患者人数少的药品(如罕见病)、或者是患者普遍支付能力差的药品缺乏继续研究的动力。这种情况下,一些医院医生、特定研究机构甚至是监管机构,则会发起相关临床研究。临床研究的范围常常是制药企业申办的研究未涉及的领域,例如罕见病研究、诊断或治疗手段比较、上市药物新用途等,起到填补空白的作用。
但在国内,药品临床试验质量不高早已为业界诟病多年。
2015年后,原国家食药监总局针对制药企业发起的注册性临床试验要求更加严格,但研究者发起的临床试验由于不需要提交药监等监管机构审核,质量依然是参差不齐,难言乐观。
曹丽君认为,研究者发起的研究中,“研究者”既是申办方又是研究者,需要对研究质量、风险管理、受试者权益、财务控制、研究数据的真实性等负责。但是其监管体系模糊。对于研究者发起的项目,并没有明确的管理规定,很多依靠研究者或者机构管理者的经验判断,为管理增加了难度。
在新冠病毒疫情大规模爆发后,短时间内涌现了大量研究者发起的临床研究。缔脉生物副总裁刘熠对界面新闻记者分析,研究者发起的临床研究立项启动相对比较快,在疫情初期能促进快速启动一系列临床试验,探索对抗新冠病毒的、不同严重类型患者的治疗手段,来指导临床诊疗方案的建立。但是,这也很快暴露了突发公共卫生危机压力下临床试验的上马缺乏有效的协调机制的问题。
研究者发起的临床研究立项速度快的原因在于,从流程上看,研究者设计出方案后仅需提交给医院伦理委员会审核通过即可开展研究。
根据2018年修订的(药物临床试验质量管理规范》(GCP),伦理委员会应分别有医药相关专业人员、非科学专业背景人员、非临床试验单位成员,并有不同性别的委员,至少5人组成。所有成员均有伦理审查的培训和经验,能够审查临床试验相关的伦理学和科学等方面的问题。
柯楠表示,为了保护患者安全、尽可能减少风险,伦理委员会实际上承担了类似国家药监局药品审评中心的“把关人”角色,一般来说伦理委员会中还需要有统计师与律师背景人员。
但看着各种一拥而上而又光怪陆离的治疗手段,不得不使人产生怀疑,一些伦理委员会有没有起到“把关人”的作用,或是仅仅是一枚“橡皮图章”。

该用户从未签到

1644

主题

23万

回帖

26万

积分

版主

Rank: 7Rank: 7Rank: 7Rank: 7Rank: 7Rank: 7Rank: 7

花潮美女鼠牛虎兔龙蛇马羊猴鸡狗猪多彩人生火热情怀优雅迷人缤纷心情蝴蝶情怀心曲飞扬星星情怀七彩绚丽相遇之美花好月圆心香一瓣飞龙在天王者至尊生财有道大将风范天籁妙音妙笔生花共看流星风雨同行我心永远幸福快乐前途似锦花潮版主

 楼主| 发表于 2020-3-3 13:23 | 显示全部楼层
驻在平安夜前夕 发表于 2020-3-3 13:22
瑞德西韦临床试验入组患者不足,和太极拳及豆浆疗法抢人

2020

存在两大问题
刘熠认为,短时间内大量出现的临床试验会造成有限的临床试验资源不能有效分布和利用,比如真正有价值研究的入组速度却得不到保障。由于缺乏有效临床研究管理和足够的临床研究资源,可以预见有部分研究甚至无法按计划完成。
很重要的一个原因是,由于临床试验的发起人一般都仅有临床型专家,对于研究用药本身的药学和临床前数据的专业程度有限,部分药物大跨步进入临床试验阶段,而其立题依据是不够充分的。同时相当一部分的研究样本量很小,研究设计开放性居多,无法提供高质量的临床证据指导用药。
简单而言,药物筛选与临床试验方案设计的不合理,是目前大量的研究者发起的新冠肺炎临床试验所存在的两大问题。
药物筛选主要基于药理来展开,柯楠表示,概念验证(proof-of-concept)与机制证明是在药品拓展适应症时所必须的过程,例如研究瑞德西韦是因为它抗病毒的药物机制,安全性也是得到证明的,研究托珠单抗治疗细胞因子风暴也是因为这款药有获批类似的适应症。
但目前看,许多临床试验都缺乏基本的概念验证,或者其概念验证是备受质疑。
如武汉大学中南医院开展的“大豆水提物对新型冠状病毒肺炎 (COVID-19) 的临床治疗研究”被戏称为“豆浆疗法”;华中科技大学同济医学院附属同济医院主持的400例确诊病人参与的 “双黄连口服液治疗新型冠状病毒肺炎(COVID-19)有效性和安全性的随机、开放、平行对照、多中心临床试验 ”;武汉人民医院一项名为“雾化吸入喜炎平注射液治疗新型冠状病毒肺炎 (COVID-19)的临床研究”;甚至一些太极拳、六字诀的临床试验。
综合各类媒体报道与文献资料不难发现,这些中成药、中药注射液、中医、豆浆其基本都缺乏基本的治疗新冠肺炎或是抑制新冠病毒的概念验证,甚至连体外细胞实验都未曾开展。
当然,缺乏概念验证也并非“中字头”药物和疗法所独有,许多抗生素、干细胞等药物/疗法也同样如此。
一个典型案例便是武汉金银潭医院所注册开展的一项“探究PD-1单抗(卡瑞利珠单抗)和胸腺肽用于伴随淋巴细胞减少的2019新型冠状病毒感染重症肺炎患者的疗效”的临床试验。
PD-1单抗是当下最热门的肿瘤药物,但多位业内人士对其是否存在治疗新冠肺炎效果提出质疑。原因在于,从药物机理上看,PD-1单抗的作用主要是激活与恢复T细胞功能,但新冠病毒在感染人体过程中不仅并没有PD-1的参与,并且被激活后的T细胞也存在加重细胞因子风暴的可能,后者被认为是目前许多危重症新冠肺炎患者的重要死亡原因之一。
这也就不奇怪会有行业内人士质疑使用PD-1治疗“思路是不是反了”,“可能反而会加重患者病情”。

                               
登录/注册后可看大图

该用户从未签到

1644

主题

23万

回帖

26万

积分

版主

Rank: 7Rank: 7Rank: 7Rank: 7Rank: 7Rank: 7Rank: 7

花潮美女鼠牛虎兔龙蛇马羊猴鸡狗猪多彩人生火热情怀优雅迷人缤纷心情蝴蝶情怀心曲飞扬星星情怀七彩绚丽相遇之美花好月圆心香一瓣飞龙在天王者至尊生财有道大将风范天籁妙音妙笔生花共看流星风雨同行我心永远幸福快乐前途似锦花潮版主

 楼主| 发表于 2020-3-3 13:23 | 显示全部楼层
驻在平安夜前夕 发表于 2020-3-3 13:23
存在两大问题刘熠认为,短时间内大量出现的临床试验会造成有限的临床试验资源不能有效分布和利用,比如真 ...

仅设置2例对照的“豆浆疗法”临床试验方案
在临床试验方案设计上,也出现了诸多质量不高的案例。最典型的依然是“豆浆疗法”,其不仅整个临床试验各队列入组患者人数都很少,令人匪夷所思的是对照组仅设置为2人,无论是从概率还是统计学角度,都难以看出2人的对照组的效力。而类似的仅设计几十例的临床试验并不在少数。
不过,中国临床试验网站上最新检索发现,这一临床研究申请状态已变更为“研究者撤销”。

                               
登录/注册后可看大图

该用户从未签到

1644

主题

23万

回帖

26万

积分

版主

Rank: 7Rank: 7Rank: 7Rank: 7Rank: 7Rank: 7Rank: 7

花潮美女鼠牛虎兔龙蛇马羊猴鸡狗猪多彩人生火热情怀优雅迷人缤纷心情蝴蝶情怀心曲飞扬星星情怀七彩绚丽相遇之美花好月圆心香一瓣飞龙在天王者至尊生财有道大将风范天籁妙音妙笔生花共看流星风雨同行我心永远幸福快乐前途似锦花潮版主

 楼主| 发表于 2020-3-3 13:24 | 显示全部楼层
驻在平安夜前夕 发表于 2020-3-3 13:23
仅设置2例对照的“豆浆疗法”临床试验方案在临床试验方案设计上,也出现了诸多质量不高的案例。最典型的 ...

“豆浆疗法”临床试验已被研究者撤销
“临床中相当一部分的研究样本量很小,研究设计开放性为多,无法提供高质量的临床证据指导用药。”刘熠指出。
她认为,新冠肺炎的临床试验设计具备相当的挑战性:首先从病理生理到疾病诊断上看,目前对于疾病本身还处在一个逐渐认识的过程,如缔脉生物参与的几个新冠肺炎临床试验方案便是“一边在修改方案,另外一边卫健委就又发布了新版的诊疗方案”;其次,不同严重程度患者的治疗目的不同,需要分别进行讨论,用不同的临床评估指标来判断;最后,针对疫情特殊的临床诊疗状态,在研究设计中也需要充分考虑可行性和可操作性。
“一个好的临床试验方案要写两三百页,涉及如何分组,随机、安全风险控制、试验背景。”柯楠介绍,其所在的团队光设计方案就需要4个专职人员至少工作两三个月。他表示,随机对照试验(RCT)依然是临床试验的金标准,但目前也确实不是所有的研究者都有能力开展,在具备充足理由的情况下,针对新冠肺炎患者也可以开展单臂(即无对照)的、或者是非随机对照的临床试验。
不过,临床试验设计的统计学效力和方法是否准确可行、对于药物剂量、观察指标,临床终点的选择上不仅应可以用统计学方法来比较,还应当对临床具有指导意义,很多时候这些是需要强大的统计师团队来完成的。但是,目前大部分一线医生是否具备这一专业能力,要打上个问号。
此外,在当前疫情的特殊时期,实际操作中还面临着更多困难影响着一项临床试验的质量。曹丽君认为,临床试验有大量基础和常规工作需要完成,而医院往往没有足够的专职人员;很多研究者还有大量的临床一线工作,其精力面对大量的项目管理工作也有限。
实际上,在制药企业开展的临床试验中,往往会聘请临床合同研究组织(CRO)来进行临床试验的设计与运营,但据悉有临床CRO参与的研究者发起的临床试验并不多,这主要是和研究规模、经费和研究者对于临床试验质量的观念有关。
规范还应更详细
毫无疑问,低质量的临床试验方案会产生低质量的研究结果,界面新闻记者此前从业内获悉一项数据:目前国内研究者已对外递交超过150篇待发表研究,但退审的文稿高达90多篇,而美国研究者递交了90多篇文章,却只有十几篇被退稿。而美国目前的可供研究的患者人数也是远低于国内。
而综合各方信息可以大致总结出,行政干预、经费驱动、发表研究的需求以及人情关系等是各类低质量的新冠肺炎临床试验不断被立项、批准、运行的几个主要因素。
更为现实的是,混乱的临床试验也会给疫情之中的患者造成伤害,一些患者如果入组一些明显不合理的药物临床试验,是否反而会耽误治疗、研究者又能否做好受试者保护,都是未知数。
这些乱象并非没有引起重视。
世界卫生组织(WHO)此前召开的全球研究创新论坛上就曾对中国新冠病毒相关临床试验提出意见。WHO首席科学家Soumya Swaminathan表示,如果中国的试验设计没有严格的研究参数标准,例如对照组、随机分组和临床结果的衡量标准,那么这些努力将是徒劳的。
而最新发布的《关于规范医疗机构开展新型冠状病毒肺炎药物治疗临床研究的通知》也在事实上对研究者发起的新冠肺炎药物临床试验提出了规范要求,包括限制“所使用的药品应为已上市药品”、要求给药剂量“不超过现有药品说明书的用法用量,预期人体内药物浓度可以达到体外实验换算到人体有效浓度”、明确医疗机构是临床研究的责任主体、提出“医院根据需要可聘请独立于药品供应方、参与临床研究工作的医务人员和患者的IDMC(独立数据监测委员会),在临床研究结束之前定期对研究进展情况进行评判”等。
不过,对于详细的药物筛选、临床终点等具体问题,上述通知并未作出规范指导。
刘熠建议,应当集中资源集中解决重大的临床诊疗问题,可以由监管机构、临床专家和公共卫生专家联合推荐高优先级选题;参照埃博拉疫情期间的国际操作,尽快建立研究多种疗法、多种疾病或两者的母方案(master protocol), 推动标准化的临床研究方案,从而摒弃一些在研究设计上就有缺陷的临床试验。
她还表示,对研究者和伦理委员会的素质和资质需要有严格的审查和管控。在对全部研究者发起的临床试验无法做到统一监管的条件下,可以制定高风险临床试验的监管办法。对临床研究的立项、实施、数据管理、结果公布等,以及配套的硬件软件给出明确指引。最后,对临床试验违规或造假等造成不良后果的处罚应有法律支持。

该用户从未签到

1644

主题

23万

回帖

26万

积分

版主

Rank: 7Rank: 7Rank: 7Rank: 7Rank: 7Rank: 7Rank: 7

花潮美女鼠牛虎兔龙蛇马羊猴鸡狗猪多彩人生火热情怀优雅迷人缤纷心情蝴蝶情怀心曲飞扬星星情怀七彩绚丽相遇之美花好月圆心香一瓣飞龙在天王者至尊生财有道大将风范天籁妙音妙笔生花共看流星风雨同行我心永远幸福快乐前途似锦花潮版主

 楼主| 发表于 2020-3-4 01:15 | 显示全部楼层
专家复盘:“不明原因肺炎”上报失灵的背后

2020年03月02日 19:28 中国新闻周刊

  原标题:专家复盘:“不明原因肺炎”上报失灵的背后

  这些信息都报上去了

  怎么及时转化成防控行动?


                               
登录/注册后可看大图
2月6日下午,一辆运送医疗设备和工作人员的车辆抵达武汉火神山医院。摄影/长江日报 陈卓

  1月8日晚,作为中国疾病预防控制中心(CDC)首席流行病学家,曾光突然接到国家卫健委通知,要求他尽快去一趟武汉。次日早上7点,他就坐上了从北京飞往武汉的飞机。

  因在武汉只待了一天,曾光没有参与现场调查。在地方给包括他在内的专家的汇报中,他听到的是武汉市已经隔离了多少人,密切接触者中没有出现感染者,感染者病症不是太重,和季节性流感差不多……“我们得到的都是这样的信息。”在向《中国新闻周刊》回忆起那次经历时,曾光拍着桌子问,“那时我哪知道还有个李文亮,还有张继先?”

  即便是基于这样的信息,出于SARS时期的经验,曾光还是建议当地要把感染者完全隔离,疑似病人不但要收治进医院,还要一人一个单间,密切接触者要集中隔离,这是防控要点。但在当时,武汉并没有采纳这样的措施。


您需要登录后才可以回帖 登录 | 立即注册

本版积分规则

小黑屋|手机版|Archiver|服务支持:DZ动力|huachaowang.com Inc. ( 蜀ICP备17032287号-1 )

GMT+8, 2025-12-17 13:22 , Processed in 0.086345 second(s), 22 queries .

Powered by Discuz! X3.4

© 2001-2013 Comsenz Inc.

快速回复 返回顶部 返回列表