花潮论坛

搜索
热搜: 活动 交友 discuz

[时事新闻] 国家卫健委高级别专家组就新型冠状病毒感染的肺炎疫情答记者问

[复制链接]

该用户从未签到

1644

主题

23万

回帖

26万

积分

版主

Rank: 7Rank: 7Rank: 7Rank: 7Rank: 7Rank: 7Rank: 7

花潮美女鼠牛虎兔龙蛇马羊猴鸡狗猪多彩人生火热情怀优雅迷人缤纷心情蝴蝶情怀心曲飞扬星星情怀七彩绚丽相遇之美花好月圆心香一瓣飞龙在天王者至尊生财有道大将风范天籁妙音妙笔生花共看流星风雨同行我心永远幸福快乐前途似锦花潮版主

 楼主| 发表于 2020-3-4 21:14 | 显示全部楼层
驻在平安夜前夕 发表于 2020-3-4 21:13
资料图/羊城晚报全媒体记者 梁喻 摄从插管到拔管一样风险巨大羊城晚报:我们关注到,在死亡病例中,有一 ...


                               
登录/注册后可看大图
资料图/羊城晚报全媒体记者 梁喻 摄
要把一整套“组合拳”用上去
羊城晚报:目前已经公布的对死亡病例的解剖病理,这是否可以更好地指导重症患者的治疗?
桑岭:有了病理结果,当然比没有病理结果要好。病理结果的一些发现,对指导诊疗是有帮助的。
从病理公布的一些情况来看,我们觉得它反映出了一个典型的ARDS(急性呼吸窘迫综合征,是由肺内原因和/或肺外原因引起的,以顽固性低氧血症为显著特征的临床综合征,因高病死率而倍受关注)。这也让我们更加坚定地说,在这个世界上,你不要期待太多什么“救世主式”的神药。
从我个人来讲,我不相信神药,任何一个药品如果说能治疗新冠,一定是要经过一个严格的科学验证过程。实际上,从病理中告诉我们的那就是,既然是这么典型、重度的ARDS,那我就要坚定不移地把既有的东西(抢救)做好。我们不要打乱仗,把平时能做好的事现在也能做好,就已经很了不得了。
羊城晚报:您所说的平时能做好的事情是指比如什么?
桑岭:比如说不管是新冠肺炎还是SARS、重症甲流的肺炎、H7N9的肺炎等等,到了重症阶段,它都会引起急性呼吸窘迫综合征,即重度的ARDS。
像这些疾病,一方面我们要探讨病因治疗,但实际上不管是甲流还是禽流感等,我们有特效药吗?都没有特效药。
另一方面,面对ARDS,我们早期就可以开始通过呼吸支持、经过肺保护,甚至上ECMO,然后处理继发感染等等,面对ARDS的救治是需要有一个比较严谨的思维的。
同时,我们需要有一个比较充裕的人力跟团队,在平时,ARDS的病人在每个ICU里面有三四个已经很厉害了,现在一个ICU里面,16张床躺的都是同样的病人,人手还比平时少,那我们还能完全干好吗?要知道,面对这样的情况人会乱的,会有点顾此失彼,人会产生悲观情绪。
我们必须要承认,这次的确是一个比较严重的疫情,很困难,尤其是当大量的危重病人涌向医院的时候,医生的人数就这么多,你怎么搞?
但越是这个时候,你就越不能乱。我们尽量去救,该插管就插管,该趴过来俯卧位就俯卧位,管理好继发感染,把一整套组合拳用上去,我们就能挽救相当数量的病人。
羊城晚报:近段时间以来,我们一直在关注康复者血浆治疗法,这种方法是否可以用于重症患者的抢救和治疗?
桑岭:康复血浆疗法也写进了我们的专家意见中,也有一些具体的建议。(意见认为,将含有新型冠状病毒抗体的人恢复期血浆用于早期新冠肺炎患者,可以作为特异性治疗的一种选择。但是,此方法需要更进一步的临床试验验证。而含有新型冠状病毒抗体的人恢复期血浆用于重症新冠肺炎患者,目前并无临床依据。)
实际上目前用这种方法救的一些病人,还没有危重型的病人,还没有到气管插管这个阶段的。到了危重症型,你指望一个血浆能够把病人救活过来,这在重症医学上是不可能的事情。
现在好像还没有更加多的数据告诉我们,这东西一定就是个“救世主”。有很多人觉得,对新冠肺炎的治疗,只要有一个特效的东西,就能够把病人缓过来,但其实,这世界上没有神药的。
羊城晚报:我们经常听到,无论是SARS患者也好、新冠肺炎重症患者也好,都会出现“炎症风暴”,很多专家也有做过这个概念的一些解释,您能再通俗地解释一下吗?
桑岭:如果要解释清楚,我要讲一个小时。只能说,这是一种剧烈的机体反应。当人受到“打击”之后,身体起了剧烈反应,这种反应不是光针对某个器官,它是针对全身的。就有点像瀑布往下流、兵败如山倒一样。
炎症风暴以前有另外一个词叫“炎症瀑布”。瀑布什么概念?从上面下来就越滚越大了。
奋战40天,“疲倦但慢慢开始有点欣慰”
羊城晚报:您在武汉已经参与救治危重症患者一个多月了,参与这么长时间的抢救,每天面对这么多的重症病人,能否谈谈自己最直接的感受?
桑岭:说实话,一开始的时候,情绪是比较低落的,因为兴冲冲地过来,希望参与救治干点事情,但是当时发现,病人数量实在太多了,早期武汉的病死率也比较高。
但是你说到现在,只能说心里慢慢平静下来了吧。很多病人的情况在好转,逐渐有康复的病人、转出ICU的病人,甚至当你看到一些在ICU里面本来都快不行了的病人,能从你眼前笑眯眯走出医院去的时候,作为医生,开心啊。
也说句实话,从1月23日来到这里,今天已经是多少天?40天了吧,不疲倦是不可能的,这是一种很复杂的情绪,有疲倦,但有点欣慰吧,应该说疲倦但慢慢开始有点欣慰,这种欣慰是终于看到情况有了转机。
羊城晚报:像您这样在一线高负荷运转的专家和临床医生很多,但重症患者还有这么多,我们的医生要怎么扛下去?是否应该及时进行轮换休息?您希望自己休息一下再来吗?
桑岭:现在国家也说了要尽可能保证轮换,所以下面的大夫已经换了一波了,尽量还是要保证轮换,早期没有人力,现在要让他们好好休息一下,我们就尽量再支撑一下。
我希望能够尽快疫情结束,真的,放不下病人,搞到一半你叫我现在松开,我好像也放不开。
唯一希望的就是疫情快点结束,这个城市快点恢复正常。因为武汉在我心目中,一直是个美丽的地方。我希望这个城市能够尽快像她以前的样子一样继续美丽吧。
来源 | 羊城晚报·羊城派
责编 | 魏礼园
审签 | 魏礼园
实习生 | 何海晴

该用户从未签到

1644

主题

23万

回帖

26万

积分

版主

Rank: 7Rank: 7Rank: 7Rank: 7Rank: 7Rank: 7Rank: 7

花潮美女鼠牛虎兔龙蛇马羊猴鸡狗猪多彩人生火热情怀优雅迷人缤纷心情蝴蝶情怀心曲飞扬星星情怀七彩绚丽相遇之美花好月圆心香一瓣飞龙在天王者至尊生财有道大将风范天籁妙音妙笔生花共看流星风雨同行我心永远幸福快乐前途似锦花潮版主

 楼主| 发表于 2020-3-6 10:38 | 显示全部楼层
钟南山团队:需预防下水道污染引起新冠病毒传播

2020
03/05
18:57
环球时报新媒体

本研究首次收集全国范围的大样本量(超过1000例)新冠患者的临床信息,计算得出的病死率(1.4%)与国家卫健委官方报道数据(约2.3%)更为贴近;指出消化道症状(包括恶心呕吐、腹泻)较为少见,指出了新冠病毒通过消化道传播的证据,提示各界需注意预防下水道污染引起的新冠病毒传播。
在国家卫健委的支持与协调下,钟南山院士牵头收集了自2019年12月11日至2020年1月29日来自全国30个省/自治区/直辖市共552家医院的1099例实验室确诊的新型冠状病毒感染(下文简称为新冠感染)患者的临床信息。研究论文以原创论著(Original article)的形式,正式刊登在医学界影响力最高的综合医学杂志——《新英格兰医学杂志》上。

                               
登录/注册后可看大图
图1 NEJM文章与网站截图

该用户从未签到

1644

主题

23万

回帖

26万

积分

版主

Rank: 7Rank: 7Rank: 7Rank: 7Rank: 7Rank: 7Rank: 7

花潮美女鼠牛虎兔龙蛇马羊猴鸡狗猪多彩人生火热情怀优雅迷人缤纷心情蝴蝶情怀心曲飞扬星星情怀七彩绚丽相遇之美花好月圆心香一瓣飞龙在天王者至尊生财有道大将风范天籁妙音妙笔生花共看流星风雨同行我心永远幸福快乐前途似锦花潮版主

 楼主| 发表于 2020-3-6 10:38 | 显示全部楼层
驻在平安夜前夕 发表于 2020-3-6 10:38
钟南山团队:需预防下水道污染引起新冠病毒传播

2020

研究的主要亮点发现和临床意义有哪些?
1)本研究首次收集全国范围的大样本量(超过1000例)新冠患者的临床信息,不少患者在湖北省外就诊,多数患者为非重症病例(占84.3%),15.7%的患者为重症病例,患者人群具有较好的代表性;
2)本研究计算得出的病死率(1.4%)与国家卫健委官方报道数据(约2.3%)更为贴近;
3)发现了仅有1.9%的患者有直接接触过野生动物的病史,在生活在武汉以外的居民中有31.3%的患者在近2周曾到过武汉,72.3%患者曾在近2周接触过武汉地区人员;
4)指出56.2%的新冠患者在入院时尚未出现发热,但随着疾病进展,88.7%的患者相继出现发热,因此仅依靠发热作为诊断标准则容易漏诊疑诊病例;
5)指出消化道症状(包括恶心呕吐、腹泻)较为少见,指出了新冠病毒通过消化道传播的证据(在粪便、胃肠道破损粘膜、出血处分离出病毒),提示各界需注意预防下水道污染引起的新冠病毒传播;
6)指出确实存在部分核酸检测阳性、具有临床症状但在入院时无任何影像学异常表现的新冠患者,而且非重度患者中这类患者的比例(17.9%)远高于重度新冠感染患者(2.9%);
7)指出淋巴细胞减少可见于83.2%的新冠感染患者中,寻找病毒破坏淋巴细胞的关键机制将有启发临床医生通过调节患者的免疫功能而提高救治成功率。

该用户从未签到

1644

主题

23万

回帖

26万

积分

版主

Rank: 7Rank: 7Rank: 7Rank: 7Rank: 7Rank: 7Rank: 7

花潮美女鼠牛虎兔龙蛇马羊猴鸡狗猪多彩人生火热情怀优雅迷人缤纷心情蝴蝶情怀心曲飞扬星星情怀七彩绚丽相遇之美花好月圆心香一瓣飞龙在天王者至尊生财有道大将风范天籁妙音妙笔生花共看流星风雨同行我心永远幸福快乐前途似锦花潮版主

 楼主| 发表于 2020-3-6 10:39 | 显示全部楼层
驻在平安夜前夕 发表于 2020-3-6 10:38
研究的主要亮点发现和临床意义有哪些?1)本研究首次收集全国范围的大样本量(超过1000例)新冠患者的临 ...

国外同行如何评价论文?
《新英格兰医学杂志》高度重视新冠疫情,美国国立卫生研究院的Anthony Fauci、Clifford Lane、Robert Redfield教授撰写了题为Covid-19 -- Navigating the uncharted文章,提出本研究的发现提示新冠疫情最终可能更类似于季节性流感(病死率接近0.1%)或者流感大流行(类似于1957和1968年的大流行),而与SARS或者MERS的高病死率(分别为9-10%、36%)形成鲜明对比。

                               
登录/注册后可看大图

该用户从未签到

1644

主题

23万

回帖

26万

积分

版主

Rank: 7Rank: 7Rank: 7Rank: 7Rank: 7Rank: 7Rank: 7

花潮美女鼠牛虎兔龙蛇马羊猴鸡狗猪多彩人生火热情怀优雅迷人缤纷心情蝴蝶情怀心曲飞扬星星情怀七彩绚丽相遇之美花好月圆心香一瓣飞龙在天王者至尊生财有道大将风范天籁妙音妙笔生花共看流星风雨同行我心永远幸福快乐前途似锦花潮版主

 楼主| 发表于 2020-3-6 10:39 | 显示全部楼层
驻在平安夜前夕 发表于 2020-3-6 10:39
国外同行如何评价论文?《新英格兰医学杂志》高度重视新冠疫情,美国国立卫生研究院的Anthony Fauci、Cli ...


                               
登录/注册后可看大图
图2 《新英格兰医学杂志》配发述评文章,对本文正面评价
新冠论文的内容分享与影响力
钟院士一直强调,临床救治必须时刻摆在抗击新冠疫情的首位,临床和基础科研为临床实践保驾护航,两者形成有机整体。基于上述指导思想,在分析整理数据后,钟院士带领团队第一时间向医学预印本(MedRxiV)上传了文章的副本,将研究成果尽快向全社会公布,随即引起了全社会的广泛关注(截止至3月5日,浏览次数达30万,下载量近14.3万次)(图3)。

该用户从未签到

1644

主题

23万

回帖

26万

积分

版主

Rank: 7Rank: 7Rank: 7Rank: 7Rank: 7Rank: 7Rank: 7

花潮美女鼠牛虎兔龙蛇马羊猴鸡狗猪多彩人生火热情怀优雅迷人缤纷心情蝴蝶情怀心曲飞扬星星情怀七彩绚丽相遇之美花好月圆心香一瓣飞龙在天王者至尊生财有道大将风范天籁妙音妙笔生花共看流星风雨同行我心永远幸福快乐前途似锦花潮版主

 楼主| 发表于 2020-3-6 10:39 | 显示全部楼层
驻在平安夜前夕 发表于 2020-3-6 10:39
图2 《新英格兰医学杂志》配发述评文章,对本文正面评价新冠论文的内容分享与影响力钟院士一直强调,临床 ...


                               
登录/注册后可看大图
图3 新冠论文成为MedRxiV高被引用论文
为方便国内的临床一线同行了解论文信息,论文的中文全文已刊登于NEJM医学前沿网(链接:https://nejmqianyan.cn/article/YXQYoa2002032?sg=AbW1NGsHw3NxPd6F),读者可以免费在线阅读全文以及杂志社配发的述评文章(图4)。

                               
登录/注册后可看大图
图4 NEJM医学前沿配发述评文章(链接:https://nejmqianyan.cn/article/YXQYoa2002032?sg=AbW1NGsHw3NxPd6F)

该用户从未签到

1644

主题

23万

回帖

26万

积分

版主

Rank: 7Rank: 7Rank: 7Rank: 7Rank: 7Rank: 7Rank: 7

花潮美女鼠牛虎兔龙蛇马羊猴鸡狗猪多彩人生火热情怀优雅迷人缤纷心情蝴蝶情怀心曲飞扬星星情怀七彩绚丽相遇之美花好月圆心香一瓣飞龙在天王者至尊生财有道大将风范天籁妙音妙笔生花共看流星风雨同行我心永远幸福快乐前途似锦花潮版主

 楼主| 发表于 2020-3-6 10:40 | 显示全部楼层
驻在平安夜前夕 发表于 2020-3-6 10:39
图3 新冠论文成为MedRxiV高被引用论文为方便国内的临床一线同行了解论文信息,论文的中文全文已刊登于NEJ ...



论文一经发表,即引起广泛关注。在1周不到的时间内,论文已经成为《新英格兰医学杂志》浏览量最高、广泛致信交流、广泛被各界媒体采访报道的重点推介(图5)。此外,论文发表5天内已经被4篇国际学术论文引用。

                               
登录/注册后可看大图


                               
登录/注册后可看大图
图5 新冠论文成为《新英格兰医学杂志》浏览量最高、广泛致信交流、广泛被各界媒体采访报道的重点推介

该用户从未签到

1644

主题

23万

回帖

26万

积分

版主

Rank: 7Rank: 7Rank: 7Rank: 7Rank: 7Rank: 7Rank: 7

花潮美女鼠牛虎兔龙蛇马羊猴鸡狗猪多彩人生火热情怀优雅迷人缤纷心情蝴蝶情怀心曲飞扬星星情怀七彩绚丽相遇之美花好月圆心香一瓣飞龙在天王者至尊生财有道大将风范天籁妙音妙笔生花共看流星风雨同行我心永远幸福快乐前途似锦花潮版主

 楼主| 发表于 2020-3-6 10:41 | 显示全部楼层
驻在平安夜前夕 发表于 2020-3-6 10:40
论文一经发表,即引起广泛关注。在1周不到的时间内,论文已经成为《新英格兰医学杂志》浏览量最高、 ...

论文的通讯作者为钟南山院士,第一作者分别为广州呼吸健康研究院关伟杰副研究员、武汉市金银潭医院倪正义教授、华中科技大学同济医学院胡豫教授、广州呼吸健康研究院梁文华副研究员、南方医科大学统计学教研室欧春泉教授、广州呼吸健康研究院何建行教授、深圳市第三人民医院刘磊教授、中山大学第五附属医院单鸿教授、广州市第八人民医院雷春亮教授、香港中文大学许树昌教授、中国医学科学院协和医学院杜斌教授、传染病诊治国家重点实验室李兰娟院士、中国疾病预防与控制中心曾光教授、香港大学李嘉诚医学院袁国勇院士。作者名单还包括来自广州呼吸健康研究院、广州医科大学附属第一医院、武汉市中心医院、武汉市中西医结合医院、成都公共卫生临床医学中心、黄石市中心医院、武汉市肺科医院、武汉科技大学附属天佑医院、长沙市第一医院、海南省第三人民医院、黄冈中心医院、温岭市第一人民医院、宜昌市第三人民医院、湖北医科大学附属太和医院、仙桃市第一人民医院、武汉市黄陂区人民医院的多位专家。
本研究的开展得到了各方的鼎力相助,包括国家层面的全程协调与省市政府部门的大力支持;广州医科大学附属第一医院一线临床医生进行数据提取、科研相关人员数据录入的支持;南方医科大学统计学团队对数据整理和分析的支持。本研究还得到了腾讯公司在统计国内具有收治新冠病毒感染患者资质的医院数量的大力支持。我们还向全国奋斗在一线的医护工作者致以崇高的敬意,向新冠病毒感染患者致以慰问,祝愿所有患者早日康复!
(来源:北京日报客户端)

该用户从未签到

1644

主题

23万

回帖

26万

积分

版主

Rank: 7Rank: 7Rank: 7Rank: 7Rank: 7Rank: 7Rank: 7

花潮美女鼠牛虎兔龙蛇马羊猴鸡狗猪多彩人生火热情怀优雅迷人缤纷心情蝴蝶情怀心曲飞扬星星情怀七彩绚丽相遇之美花好月圆心香一瓣飞龙在天王者至尊生财有道大将风范天籁妙音妙笔生花共看流星风雨同行我心永远幸福快乐前途似锦花潮版主

 楼主| 发表于 2020-3-6 11:00 | 显示全部楼层
武汉大学人民医院研究:新冠患者入院特征相比早期更为隐蔽

2020
03/05
18:32
澎湃新闻

研究者表示,随着新型冠状病毒的传播和代际变化,新冠肺炎患者的临床表现也开始出现变化,最近感染者的初始症状也开始变得更加隐蔽。这意味着新冠病毒可能逐步演变成类似流感这样的病毒,可能长时间潜藏在无症状者体内。
当地时间3月2日,预印网站SSRN刊登了一篇来自武汉大学人民医院的论文《注意:新冠肺炎患者入院临床特征已经改变》(Caution: clinical characteristics of COVID-19 patients are changing at admission)。研究人员通过回顾性研究发现,患者在入院时的临床特征相比早期已经发生改变,总体来说便是临床特征更为隐蔽。
论文提到,自新冠病毒第三代甚至第四代传播,以及无症状携带者传播迹象出现以来,新冠肺炎的防控进入了一个新阶段。因此,仔细观察患者初期症状的变化是当务之急。
论文的通讯作者是武汉大学人民医院呼吸与危重症医学科副主任医师、副教授张旃。2003年,张旃也曾参与过抗击非典。
SSRN是一个开放获取在线预印网站,科研人员在学术期刊正式发表论文之前,可在此发布早期的科研成果。
该论文的研究样本是从1月16日到1月29日间入院的89名确诊的新冠肺炎患者。根据入院时间,他们被分成2组:第1组是1月16日至22日的31名患者;第2组是1月23日至1月29日的58名患者。
研究人员将武汉大学人民医院确诊的新冠肺炎患者的临床记录、实验室结果与入院日期匹配,以分析患者入院特征是否有了改变。
他们发现:在1月23日之前,女性患者比例较低(45.2%),而在1月23日至29日女性患者占比较高(77.6%)。

                               
登录/注册后可看大图
在1月23日之前,患者有更多的全身症状:67.7%的患者有发热表现,41.9%的患者有疲劳感,22.6%的患者有肌肉酸痛。

该用户从未签到

1644

主题

23万

回帖

26万

积分

版主

Rank: 7Rank: 7Rank: 7Rank: 7Rank: 7Rank: 7Rank: 7

花潮美女鼠牛虎兔龙蛇马羊猴鸡狗猪多彩人生火热情怀优雅迷人缤纷心情蝴蝶情怀心曲飞扬星星情怀七彩绚丽相遇之美花好月圆心香一瓣飞龙在天王者至尊生财有道大将风范天籁妙音妙笔生花共看流星风雨同行我心永远幸福快乐前途似锦花潮版主

 楼主| 发表于 2020-3-6 11:01 | 显示全部楼层
驻在平安夜前夕 发表于 2020-3-6 11:00
武汉大学人民医院研究:新冠患者入院特征相比早期更为隐蔽

2020

在痰液方面,1月23日之前入院的患者中有32.3%有痰。而1月23日之后,入院时有痰患者的比例降到了6.9%。

                               
登录/注册后可看大图
同时,在1月23日之前入院的患者中,54.2%的患者出现淋巴细胞减少,52.4%的患者出现CD3免疫细胞减少,42.9%的患者出现CD8免疫细胞减少,75%的患者出现SAA升高,这些比例都比1月23日后入院的患者高。

该用户从未签到

1644

主题

23万

回帖

26万

积分

版主

Rank: 7Rank: 7Rank: 7Rank: 7Rank: 7Rank: 7Rank: 7

花潮美女鼠牛虎兔龙蛇马羊猴鸡狗猪多彩人生火热情怀优雅迷人缤纷心情蝴蝶情怀心曲飞扬星星情怀七彩绚丽相遇之美花好月圆心香一瓣飞龙在天王者至尊生财有道大将风范天籁妙音妙笔生花共看流星风雨同行我心永远幸福快乐前途似锦花潮版主

 楼主| 发表于 2020-3-6 11:02 | 显示全部楼层
驻在平安夜前夕 发表于 2020-3-6 11:01
在痰液方面,1月23日之前入院的患者中有32.3%有痰。而1月23日之后,入院时有痰患者的比例降到了6.9%。同 ...

研究者表示,随着新型冠状病毒的传播和代际变化,新冠肺炎患者的临床表现也开始出现变化,最近感染者的初始症状也开始变得更加隐蔽。这意味着新冠病毒可能逐步演变成类似流感这样的病毒(an influenza-like virus),可能长时间潜藏在无症状者体内。

                               
登录/注册后可看大图
在论文的讨论环节中,论文作者表示,众所周知,通过准确掌握初始症状,患者和医护人员可以对传是否染病做出初步诊断,这对于筛选疑似病例至关重要的。在新冠病毒传播的早期,新冠肺炎感染者的发病临床特征主要表现为发烧,干咳,肌痛或疲劳,或许有腹泻。
但是,根据病毒突变和世代传播的特征,不同时期的感染患者可能具有不同的入院特征。由于出现了新冠病毒第三代和第四代传播甚至无症状携带者,因此迫切需要区分不同感染时期新冠肺炎患者的入院临床表现差异。
在这项研究中,研究者观察到1月23日之前收治的女性患者比例很小,考虑到样本量不大,很难解释这种现象。但令人惊讶的是,两组之间的入院症状存在若干差异。新冠肺炎的一些常见全身症状,例如发烧,乏力,痰和肌痛,在1月23日之前入院的患者中更为明显,而在后来感染的患者中更为隐蔽。
然而,仍然没有令人信服的证据来预测新冠病毒的传播和致病性在此期间是否会减弱传输。
研究证实,新冠病毒通过与血管紧张素转化酶II(ACE2)结合感染宿主细胞,而ACE2在鼻咽细胞中高表达。更重要的是,目前的研究发现,新冠病毒感染者在症状发作后不久其鼻咽中病毒载量就很高。从理论上讲,鼻咽是第一个被病毒感染的器官,但是通过观察发现,被感染的人很少在感染初期表现出上呼吸道症状,并且仅有少数患者出现喉咙干燥。
研究和临床发现似乎表明,新冠病毒可能“定居”在鼻咽中,但未能立即被识别。结果,新冠病毒很难通过打喷嚏和流鼻涕之类的自我清洁反应清除,也不能立即被局部免疫系统清除,因此新冠肺炎的最初症状很隐蔽。

该用户从未签到

1644

主题

23万

回帖

26万

积分

版主

Rank: 7Rank: 7Rank: 7Rank: 7Rank: 7Rank: 7Rank: 7

花潮美女鼠牛虎兔龙蛇马羊猴鸡狗猪多彩人生火热情怀优雅迷人缤纷心情蝴蝶情怀心曲飞扬星星情怀七彩绚丽相遇之美花好月圆心香一瓣飞龙在天王者至尊生财有道大将风范天籁妙音妙笔生花共看流星风雨同行我心永远幸福快乐前途似锦花潮版主

 楼主| 发表于 2020-3-6 11:03 | 显示全部楼层
驻在平安夜前夕 发表于 2020-3-6 11:02
研究者表示,随着新型冠状病毒的传播和代际变化,新冠肺炎患者的临床表现也开始出现变化,最近感染者的初 ...

新冠病毒会攻击中枢神经系统,有患者称大脑里总是出现川剧脸谱

2020
03/05
18:18
科技日报

专家称,很多病毒,包括SARS、MERS以及登革热等,都有少量病人出现神经系统症状 ,这主要是病毒随着血液循环流到全身各处,穿过血脑屏障,从而攻击中枢神经系统引起的。
【版权声明】本作品著作权归科技日报独家所有,授权深圳市腾讯计算机系统有限公司独家享有信息网络传播权,任何第三方未经授权,不得转载。
科技日报记者 付丽丽
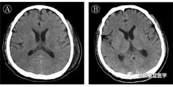
3月4日,首都医科大学附属北京地坛医院首次证实了新冠病毒攻击中枢神经系统的病例。医务人员对其患者脑脊液标本进行宏基因组二代测序,获得了SARS-CoV-2病毒基因组序列。

                               
登录/注册后可看大图
据报道,2月25日,56岁的许先生(新冠肺炎危重型、合并脑炎)终于走出北京地坛医院的大门。此前,新冠肺炎患者可合并急性呼吸窘迫综合征兆(ARDS)、心肌损害、凝血功能异常、肾脏损伤、肝脏损害等多脏器损害,尚未发现有中枢神经系统受累的报道,此病例在全球尚属首例。
消息一出,立刻引起广泛关注。很多民众内心甚为担忧,但更为困惑,病毒究竟是怎么攻击大脑中枢神经系统的,外在有哪些表现,具有怎样的科学意义?

该用户从未签到

1644

主题

23万

回帖

26万

积分

版主

Rank: 7Rank: 7Rank: 7Rank: 7Rank: 7Rank: 7Rank: 7

花潮美女鼠牛虎兔龙蛇马羊猴鸡狗猪多彩人生火热情怀优雅迷人缤纷心情蝴蝶情怀心曲飞扬星星情怀七彩绚丽相遇之美花好月圆心香一瓣飞龙在天王者至尊生财有道大将风范天籁妙音妙笔生花共看流星风雨同行我心永远幸福快乐前途似锦花潮版主

 楼主| 发表于 2020-3-6 11:03 | 显示全部楼层
驻在平安夜前夕 发表于 2020-3-6 11:03
新冠病毒会攻击中枢神经系统,有患者称大脑里总是出现川剧脸谱

2020

神经系统症状有三类
报道中,许先生于1月24日以新冠肺炎、危重型、呼吸衰竭收入北京地坛医院,治疗过程出现颌面及口角频繁抽搐,伴持续呃逆等症状,通过基因测序证实其脑脊液中存在新冠病毒,临床诊断病毒性脑炎。
“事实上,病毒除了会攻击大脑中枢神经系统外,还会攻击周围神经系统。”5日,华中科技大学同济医学院附属协和医院神经内科主任胡波在接受科技日报记者独家专访时说。
胡波团队于2月25日发表了首份揭示新冠肺炎影响神经系统文章——《武汉新冠肺炎住院患者的神经系统表现:回顾性病例系列研究》。据她介绍,研究样本是从1月16日至2月19日的214名新冠肺炎确诊住院患者。其中,有88位重症患者和126位非重症患者。患者样本的平均年龄为52.7岁,有83例患者患有高血压、糖尿病、心血管疾病和恶性肿瘤等至少一种慢性疾病。
“超三成患者出现神经系统表现,重症患者中比例更高。”胡波说,神经系统症状主要有三类:一是中枢神经系统症状如头痛、头晕、意识障碍、急性脑血管疾病、癫痫等;二是周围神经系统症状如味觉减退、嗅觉减退、食欲减退、神经痛等;三是骨骼肌损伤。78名出现神经系统症状的患者中,53人中枢神经受损,19人周围神经受损,23人骨骼肌受损。对于中枢神经系统受损的患者,最常见的症状是头晕和头痛,分别有36例和28例。
“值得注意的是,有些患者首发症状就是神经系统,如面瘫,大脑出现幻觉等,有一位患者说自己大脑里总是出现川剧脸谱,而自己从没去过四川。”胡波说。
至于为什么许先生是全球首例中枢神经系统受累的新冠肺炎患者?胡波表示,这并不矛盾,因为她们所做的是描述型研究,虽然临床发现患者有这些症状,但由于在一线,受时间和救治条件所限,并没有对患者脑脊液做病毒检测。

该用户从未签到

1644

主题

23万

回帖

26万

积分

版主

Rank: 7Rank: 7Rank: 7Rank: 7Rank: 7Rank: 7Rank: 7

花潮美女鼠牛虎兔龙蛇马羊猴鸡狗猪多彩人生火热情怀优雅迷人缤纷心情蝴蝶情怀心曲飞扬星星情怀七彩绚丽相遇之美花好月圆心香一瓣飞龙在天王者至尊生财有道大将风范天籁妙音妙笔生花共看流星风雨同行我心永远幸福快乐前途似锦花潮版主

 楼主| 发表于 2020-3-6 11:04 | 显示全部楼层
驻在平安夜前夕 发表于 2020-3-6 11:03
神经系统症状有三类报道中,许先生于1月24日以新冠肺炎、危重型、呼吸衰竭收入北京地坛医院,治疗过程出 ...

系病毒穿过血脑屏障所致
“在三类神经系统表现中,出现中枢神经受损的比例最高。”胡波指出,新冠病毒可能通过血行或逆行神经元线路侵犯中枢神经系统,引起中枢神经系统的损伤。
胡波解释,神经系统症状可能与ACE2(血管紧张素转化酶2)有关。ACE2是新冠病毒的功能性受体,即病毒感染细胞的“入口”。这种受体在肺部组织和小肠组织较多,但在几乎所有器官的血管内皮细胞和平滑肌细胞上的表达也很丰富,包括神经系统和骨骼肌。而且,新冠病毒是RNA结构,不能单独复制,其需要和细胞表面受体结合进入细胞内完成复制,然后再释放出来。因此,病毒一旦进入血液循环就很容易传播到全身各系统,这可能是新冠病毒直接或间接引起神经系统症状的病理机制。
主持许先生救治工作的北京地坛医院ICU主任刘景院也表示,病毒对靶器官的直接损害以及因此而导致的全身炎症反应可能是新冠病毒感染人体后主要的致病机制。
“很多病毒,包括SARS、MERS以及登革热等,都有少量病人出现神经系统症状 ,这主要是病毒随着血液循环流到全身各处,穿过血脑屏障,从而攻击中枢神经系统引起的。”南方医科大学三级生物安全实验室主任赵卫说。

                               
登录/注册后可看大图

该用户从未签到

1644

主题

23万

回帖

26万

积分

版主

Rank: 7Rank: 7Rank: 7Rank: 7Rank: 7Rank: 7Rank: 7

花潮美女鼠牛虎兔龙蛇马羊猴鸡狗猪多彩人生火热情怀优雅迷人缤纷心情蝴蝶情怀心曲飞扬星星情怀七彩绚丽相遇之美花好月圆心香一瓣飞龙在天王者至尊生财有道大将风范天籁妙音妙笔生花共看流星风雨同行我心永远幸福快乐前途似锦花潮版主

 楼主| 发表于 2020-3-6 11:04 | 显示全部楼层
驻在平安夜前夕 发表于 2020-3-6 11:04
系病毒穿过血脑屏障所致“在三类神经系统表现中,出现中枢神经受损的比例最高。”胡波指出,新冠病毒可能 ...

对临床救治有一定提示意义
“患者出现意识障碍,一定要考虑病毒有可能攻击中枢神经系统。”刘景院说。
胡波也认为,新冠病毒累及的主要器官为肺,实际上该病毒还可以累及神经系统、消化系统、泌尿系统、血液系统等多个系统,因此,早期以其他系统不适为首发症状时,往往容易误诊,延误治疗。
在研究中,胡波团队发现,与轻症患者相比,重症患者典型症状(发热45.5%,咳嗽34.1%等)并不多见,而中神经系统症状(45.5%)更为常见,其中不同程度的意识障碍14.8%,急性脑血管病达5.7%,肌肉损害19.3%,而这些往往与患者病情加重甚至死亡相关性更大。
因此,胡波强调,如果病人出现了神经系统症状,一定要警惕病毒感染的可能,神经系统出现症状,如凝血功能障碍、血小板病变,病人就会发生血管事件,从而导致死亡。
“不能只关注肺部,还要注意其他的病变,炎症反应激发的血管和凝血功能降低,如果引起重视,给予恰当的预防和治疗,如病人凝血时间延长,及时抗凝,把这个漏洞补起来,关键时刻就能挽救病人的生命。”胡波说,此外,医务人员也要警惕,如果一些病人首发症状是神经系统,诊断时千万不要忽略可能是病毒感染引起的,从而降低感染的风险。
确实,刘景院也提醒抗疫救治一线医护人员,在临床观察中,不乏有颈抵抗,病理征阳性,突发意识障碍甚至昏迷的病例存在,面对此类患者,需要警惕新冠病毒感染可累及中枢神经系统,及时进行脑脊液等相关检查,并完善脑脊液新冠病毒核酸及基因测序等工作,并积极处理相关神经系统并发症,从而进一步降低危重病人的病死率。

                               
登录/注册后可看大图




该用户从未签到

1644

主题

23万

回帖

26万

积分

版主

Rank: 7Rank: 7Rank: 7Rank: 7Rank: 7Rank: 7Rank: 7

花潮美女鼠牛虎兔龙蛇马羊猴鸡狗猪多彩人生火热情怀优雅迷人缤纷心情蝴蝶情怀心曲飞扬星星情怀七彩绚丽相遇之美花好月圆心香一瓣飞龙在天王者至尊生财有道大将风范天籁妙音妙笔生花共看流星风雨同行我心永远幸福快乐前途似锦花潮版主

 楼主| 发表于 2020-3-7 19:46 | 显示全部楼层
世卫组织:病毒会在夏天消失是错误幻想 20种疫苗在开发

2020
03/07
06:37
第一财经

WHO紧急卫生事务项目执行主管瑞安称,我们必须假设该病毒将继续具有传播的能力。说它会像流感病毒一样在夏天消失,是一种错误的幻想。我们当然希望会发生这样的事情,但是我们不能做这个假设,现在没有证据表明会发生这种情况。因此,我们现在需要与病毒作斗争,而不是寄希望于病毒会自行消失。
根据各国卫生部或政府官方数据,全球新型冠状肺炎确诊人数已经超过10万人。
日内瓦时间6日,世界卫生组织(WHO)正式发布针对新冠肺炎的全球研发路线图,指出应将9个关键领域设为研究优先事项。这些领域包括病毒的自然史、流行病学、疫苗、诊断、治疗、临床管理、道德考量以及社会科学等。
总干事谭德塞称,研发路线图注重的是能够挽救生命的研究,以及疫苗和治疗药剂等长期研究重点。此外,WHO一直在监测由于新冠疫情而发生的药品供应中断的潜在风险。WHO为此列出一张清单,标明各国治疗患者所需的20多种基本医疗器械。
其中,谭德塞特别指明呼吸机和氧气供应系统的重要性。“对于某些患者来说,是否能获得医用氧气可能是生与死之间的区别。但是,许多国家一直有(医用氧气)供不应求的现象,而这种短缺可能会在这种流行病下进一步扩大”,他称。

                               
登录/注册后可看大图

该用户从未签到

1644

主题

23万

回帖

26万

积分

版主

Rank: 7Rank: 7Rank: 7Rank: 7Rank: 7Rank: 7Rank: 7

花潮美女鼠牛虎兔龙蛇马羊猴鸡狗猪多彩人生火热情怀优雅迷人缤纷心情蝴蝶情怀心曲飞扬星星情怀七彩绚丽相遇之美花好月圆心香一瓣飞龙在天王者至尊生财有道大将风范天籁妙音妙笔生花共看流星风雨同行我心永远幸福快乐前途似锦花潮版主

 楼主| 发表于 2020-3-7 19:46 | 显示全部楼层
驻在平安夜前夕 发表于 2020-3-7 19:46
世卫组织:病毒会在夏天消失是错误幻想 20种疫苗在开发

2020

氧气供应可能决定患者生死
谭德塞指出,协调研究至关重要,WHO因此制定出一套核心标准协议,阐述了研究应该以何种标准进行、关键数据以何种标准收集,以便各国比较与汇总。
迄今为止,WHO已经审查和批准了40项诊断测试的申请,有20种疫苗正在开发过程中,还有许多治疗药物的临床试验也在进行中。
“即使是在测试治疗药剂的阶段,也需要确保,如果这些药物有效它们的供货是充足的。” 谭德塞称,WHO一直在监测由于新冠疫情而造成的药品供应中断的风险。
WHO将重点放在对基本医疗和紧急病况至关重要的最基本药物上,包括抗生素,止痛药,以及治疗糖尿病、高血压、艾滋病毒、结核病和疟疾等的药物。
谭德塞透露,WHO正在与行业协会、监管机构和其他合作伙伴密切合作,以监控这种药品供应中断的风险。但到目前为止,WHO尚未发现哪一种药物会出现短缺。
“众所周知,中国是活性药物成分的主要生产国,也是其他国家生产药物所需的中间产品的主要生产国。” 谭德塞称,“许多制造商要么是有其他原料来源,或者有很多库存可以利用。尽管仍然存在一些挑战,但中国大部分地区的制造业现已复产。”
此外,WHO制定出一张清单,列出了各国医疗患者所需的20多种基本医疗器械,其中包括呼吸机和氧气供应系统。
谭德塞指明:“对于某些患者来说,能否获得医疗氧气可能是生与死之间的区别。但是在许多国家已经供不应求的情况下,这种流行病可能会加剧这种短缺。”
此前,WHO与盖茨基金会、克林顿健康倡议组织以及医疗集团PATH成立过一个工作小组。谭德塞称,WHO将在这一伙伴关系下谋求获取更多的氧气。
谭德塞称:“我们鼓励每个国家对照一下WHO针对新冠肺炎提出的疾病诊疗工具包,以确保其拥有所需的物品,包括个人防护设备和医疗设备。”
而所有这些都需要私营部门的参与,以确保各国能获得这些救命的用品,谭德塞称。
不能假设新冠病毒会在夏天消失
WHO紧急卫生事务项目执行主管瑞安(Michael Ryan)称,我们仍不知道,在不同的气候条件下,新冠病毒的活动或行为状态会是怎样的。
“我们必须假设该病毒将继续具有传播的能力。说它会像流感病毒一样在夏天消失,是一种错误的幻想。” 瑞安指出,“我们当然希望会发生这样的事情,那无疑是天赐的结果。 但是我们不能做这个假设,现在没有证据表明会发生这种情况”。
瑞安称, 因此,我们现在需要与病毒作斗争,而不是寄希望于病毒会自行消失。
WHO紧急事务项目技术主管范科克浩夫(Maria Van Kerkhove) 博士此前亦指出,疫情爆发至今,我们对病毒的认知是不够的,需要更多的研究。我们没有理由认为这种病毒会在不同的气候环境中出现不同的表现和传播方式。
范科克浩夫补充称,随着事态的发展,WHO会进一步监测,与此同时需要全球所有国家尽可能保持警惕。她称,WHO对所有国家提出相同的建议,即迅速分辨出病例,将确诊患者隔离并诊治,联系患者的密切接触人群,并在接下来的14天内对其进行追踪和看顾。

该用户从未签到

1644

主题

23万

回帖

26万

积分

版主

Rank: 7Rank: 7Rank: 7Rank: 7Rank: 7Rank: 7Rank: 7

花潮美女鼠牛虎兔龙蛇马羊猴鸡狗猪多彩人生火热情怀优雅迷人缤纷心情蝴蝶情怀心曲飞扬星星情怀七彩绚丽相遇之美花好月圆心香一瓣飞龙在天王者至尊生财有道大将风范天籁妙音妙笔生花共看流星风雨同行我心永远幸福快乐前途似锦花潮版主

 楼主| 发表于 2020-3-8 13:15 | 显示全部楼层
新冠病毒变异成两个“亚型”一个凶猛一个温和?专家:只是推测性结论

2020
03/07
21:38
科技日报

一个病毒是否“凶猛”,是不是个“暴脾气”,该如何推论?“该论文运用序列分析软件,对新冠病毒基因的差异进行分型,进而得到每种基因分型和患者临床表现的关联性,我认为这只能是推测性结论”。美国堪萨斯大学医学院教授董亚峰认为,把病毒变异分型后,还需要与患者的临床数据进行关联性分析,才有现实意义。
【版权声明】本作品著作权归科技日报独家所有,授权深圳市腾讯计算机系统有限公司独家享有信息网络传播权,任何第三方未经授权,不得转载。
科技日报记者 张佳星
近日,冠状病毒是否变异引发关注。公众对于冠状病毒发生了什么样的变异,病毒变异是否影响它的致病性和传播力等问题,产生很多疑问,科技日报记者带着这些问题咨询了多位基因组学领域和病毒学领域的学者。
病毒变异常见
“质变”还未到来
“变异在病毒是非常常见的,每个毒株的病毒序列都或多或少有所不同。”美国加州大学圣地亚戈分校医学中心副教授李克峰介绍,病毒毒株之间的不同和“千人千面”有着相似的道理。
日前,论文《关于SARS-CoV-2的起源和持续进化》在对百余株新冠病毒毒株的全基因组序列比对后发现,病毒在基因组上一个蛋白编码位点的突变形成了两“组”,被媒体称为“亚型”。
“目前看,这个程度的变异造成的差异不足以叫‘亚型’,叫分枝(clade)比较合适。”一位病毒专家说,“亚型”有独特的意义,不同病毒的定义不一样,不是只要有一两个突变就可以分出“亚型”。
相关专家表示,这个病毒刚刚发生还没多久,不可能有太大的变化,根据对病毒现有的认知,病毒的变异速率大约为每年1000个碱基中发生1个碱基的变化,只有在关键位点的变化才能导向突出的变异。
在3月6日的新闻发布会上,针对新冠病毒变异会不会影响疫苗研发的问题,中国科学院副秘书长、中国科学院院士周琪回应称,目前,病毒变异并没有影响到药物研发、抗体制备和疫苗制备。他还说,病毒变异过程里面需要更多案例,也需要更多深入研究。目前正在积极地观测病毒变异程度,而且积极地布局科研项目。
新冠病毒序列共享
实现真正的大数据挖掘
目前的基因序列对比研究的样本量大多为百余例左右。李克峰认为,研究样本量太少,并不能说明是什么时候变异的以及是否在武汉变异的。
此外,对于冠状病毒样本的数据挖掘,还应该注重代表性,例如该论文选用的数据中,武汉样本多是元旦前后,1月底前后的样本多集中于国外,还有少部分1月中旬的广东、云南的样本数据,分散的数据很难讲通病毒繁衍、进化、传代的“故事”。
“数据数量的严重缺乏,很可能造成片面的分析结果。”一位国家科学数据中心负责人介绍,据国家生物信息中心/国家基因组科学数据中心建立的2019新冠病毒信息库发布的统计,目前全球公开的新冠病毒序列有283条,其中只有200个全基因组序列。这对于数据挖掘的需求而言相当于“杯水车薪”。
看懂病毒“习性”
需与临床数据关联研究
上述论文中提到,新冠病毒可以分为S型和L型,前者更具侵略性,后者更温和。
李克峰认为,“目前而言,病毒习性是没法根据病毒的基因序列单独判断。科学家试图探索病毒的蛋白与宿主受体结合程度来作为病毒传播力的一个判断依据,但是其致病力目前还未找到共性规律”。
一个病毒是否“凶猛”,是不是个“暴脾气”,该如何推论?
“该论文运用序列分析软件,对新冠病毒基因的差异进行分型,进而得到每种基因分型和患者临床表现的关联性,我认为这只能是推测性结论”。美国堪萨斯大学医学院教授董亚峰认为,把病毒变异分型后,还需要与患者的临床数据进行关联性分析,才有现实意义。
“找基因的变异是一项非常重要的工作,但难度比较大。在几万个患者的基因中找到变异的片段,相当于大海捞针。我们不可能,也没有必要把每位患者的基因做测序,从而发现基因变异。通过选择特殊病人、不同流行病学史或不同地域的患者进行基因测序,以加快寻找变异的基因。”董亚峰解释,比如一些特殊患者,其核酸检测一直是阴性,但CT影像等临床数据阳性;治疗后核酸转阴又转阳性的患者,通过对这些特殊患者的基因序列分析,与普通患者作比较,会更高效找到基因变异片段。
寻找新冠病毒的变异不仅表明人类对新冠病毒的认识深度,还有很多现实意义。董亚峰介绍,比如检测试剂盒出现阴性可能是由于某些基因片段特定区域突变,从而检测不到。通过发现基因变异,还可以设计出更好的核酸检测试剂盒;再比如,通过把变异和非变异基因患者的临床数据做统计分析,可以将基因变异与病情的发展、愈后等指标做关联分析,进而指导更有效的精准治疗。
“不同变异的病毒可能临床症状完全不同,如果能找到规律将对临床有指导意义。”董亚峰强调,科学研究意义不仅在发现不同,更要注重临床应用。
来源:科技日报

该用户从未签到

1644

主题

23万

回帖

26万

积分

版主

Rank: 7Rank: 7Rank: 7Rank: 7Rank: 7Rank: 7Rank: 7

花潮美女鼠牛虎兔龙蛇马羊猴鸡狗猪多彩人生火热情怀优雅迷人缤纷心情蝴蝶情怀心曲飞扬星星情怀七彩绚丽相遇之美花好月圆心香一瓣飞龙在天王者至尊生财有道大将风范天籁妙音妙笔生花共看流星风雨同行我心永远幸福快乐前途似锦花潮版主

 楼主| 发表于 2020-3-10 23:58 | 显示全部楼层
输入性确诊病例,为啥甘肃出现那么多?

2020年03月10日 08:57 央视

  原标题:输入性确诊病例,为啥甘肃出现那么多?

  根据国家卫健委最新通报,截至3月9日24时,累计报告境外输入确诊病例69例,其中,有33例来自甘肃。为什么大部分确诊病例会出现在甘肃?输入性病例还会不会持续增加?《新闻1+1》白岩松连线甘肃省卫生健康委员会主任郭玉芬,带来最新消息。


                               
登录/注册后可看大图



该用户从未签到

1644

主题

23万

回帖

26万

积分

版主

Rank: 7Rank: 7Rank: 7Rank: 7Rank: 7Rank: 7Rank: 7

花潮美女鼠牛虎兔龙蛇马羊猴鸡狗猪多彩人生火热情怀优雅迷人缤纷心情蝴蝶情怀心曲飞扬星星情怀七彩绚丽相遇之美花好月圆心香一瓣飞龙在天王者至尊生财有道大将风范天籁妙音妙笔生花共看流星风雨同行我心永远幸福快乐前途似锦花潮版主

 楼主| 发表于 2020-3-10 23:58 | 显示全部楼层
驻在平安夜前夕 发表于 2020-3-10 23:58
输入性确诊病例,为啥甘肃出现那么多?

2020年03月10日 08:57 央视

  连续16天零新增,为何被打破?

  从这张甘肃省近一个月新增病例的数据变化图可以看出,从2月18日到3月4日,甘肃新增病例连续16天零增长,但到了3月5日和3月6日,连续两天出现了较多的新增病例,分别达到了11例和17例。


                               
登录/注册后可看大图

  根据当地卫健委的通报,这些新增病例都是输入性病例,为什么会出现这样的情况呢?这和近期从伊朗集中回国的300多人有关。3月2日,有2名中国公民从伊朗回到兰州;3月4日,146名中国公民从伊朗乘机抵达兰州;3月5日,又有163名中国公民从伊朗乘机抵达兰州。而这几天,甘肃确诊的病例,正是来自近期回国的这311人。


您需要登录后才可以回帖 登录 | 立即注册

本版积分规则

小黑屋|手机版|Archiver|服务支持:DZ动力|huachaowang.com Inc. ( 蜀ICP备17032287号-1 )

GMT+8, 2025-12-17 13:18 , Processed in 0.089045 second(s), 23 queries .

Powered by Discuz! X3.4

© 2001-2013 Comsenz Inc.

快速回复 返回顶部 返回列表